Вопрос в категории "травматолог" /

Посмотрите, пожалуйста, снимки голеностопного сустава

Дмитрий Л 06 Сен, 25
Вопрос закрыт
1 Ответ
Здравствуйте! Огромное Спасибо за ответ про стопу!

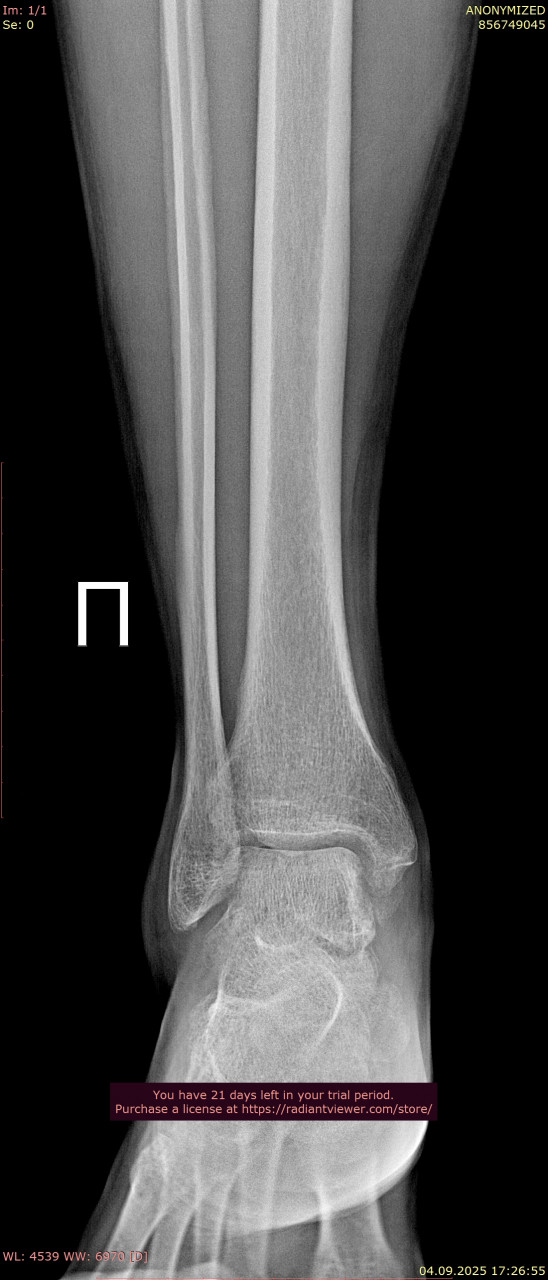
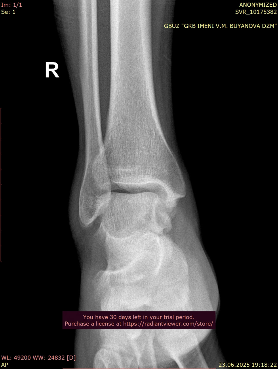
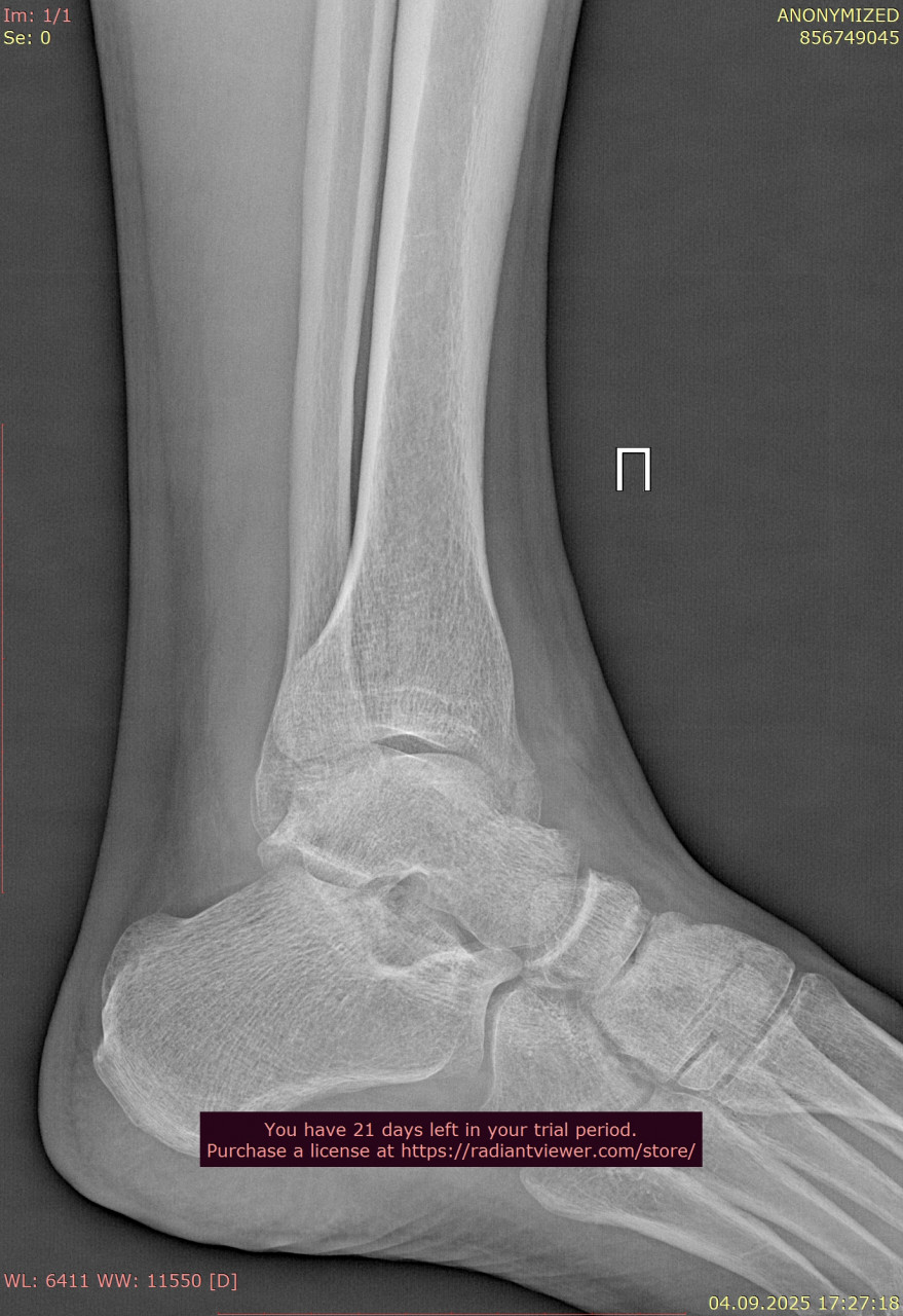
Посмотрите, пожалуйста, снимки голеностопного сустава от 23.06.2025, когда был перелом, и спустя почти 11 недель от 04.09.2025. Переломы срослись нормально? нужно ли делать еще один рентген в будущем? От 23.06.2025 прикрепляю только одну проекцию из за лимита сайта.
  • Возраст: 38
  • Хронические заболевания: Остеопения
закрыто с пометкой: Пациент получил ответ на свой вопрос

1 Ответ

Опыт: 30 лет
Травматолог
07 Сен, 25
Здравствуйте. По вашим снимкам костная мозоль сформировалась, перелом срастается удовлетворительно, признаков смещения нет. Дополнительный рентген обычно не требуется, если нет боли или отёка, но окончательное решение принимает лечащий травматолог при очном осмотре.
+1 голос

Ваше мнение очень важно для нас. Оставьте отзыв о работе нашего портала

Оставить отзыв

Популярные запросы пользователей

...