Мария Алексеенко 18 Ноя, 25
Вопрос закрыт
2 Ответа
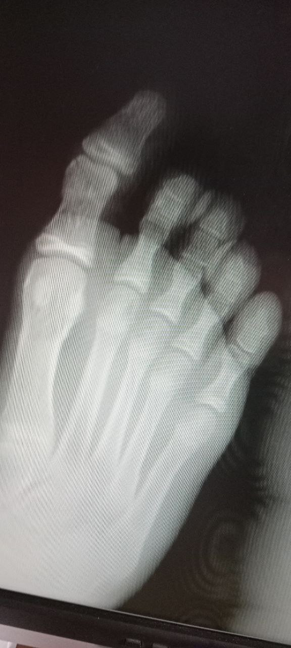
ребенок 13 лет получил травму. Большой палец припух и появилась синюшность. На утро синяки стали коричневого цвета. Припухлость не прошла. Боль соответственно тоже. Сделали снимок. Специалист в рентгенкабинете (не травматолог) сказала, что как минимум трещина, как максимум - перелом. Очень пожилой травматолог сказал, что это всего лишь ушиб. Хотелось бы понять реальную картину и оказать помощь правильно
  • Возраст: 13
  • Хронические заболевания: нет
закрыто с пометкой: вопрос закрыт по истечении срока давности

2 Ответа

Опыт: 30 лет
Травматолог
19 Ноя, 25
Здравствуйте. По этим снимкам точно сказать нельзя т.к  качество низкое и без очного осмотра выводы неточные. Но по описанию (отёк, синюшность, боль, сохранение симптомов) трещина или перелом более вероятны, чем просто ушиб. Рекомендую очно показать ребёнка травматологу, повторить снимок в двух проекциях и до уточнения диагноза зафиксировать палец и ограничить нагрузку.
0 голосов
Опыт: 18 лет
Травматолог
19 Ноя, 25

Здравствуйте. По предоставленным снимкам определить перелом однозначно невозможно, но симптоматика настораживает. Припухлость и стойкая боль после травмы в 13 лет чаще сопровождают повреждение кости, чем простой ушиб. Лучше повторить рентген в качественных проекциях и временно обездвижить палец шиной или плотной повязкой. Без уточнения диагноза нагружать ногу нельзя.

0 голосов

Ваше мнение очень важно для нас. Оставьте отзыв о работе нашего портала

Оставить отзыв

Популярные запросы пользователей

...