Вопрос в категории "ортопед" /

Посмотрите снимки. Можно начинать ЛФК?

Peter K 09 Июнь, 25
Вопрос закрыт
1 Ответ

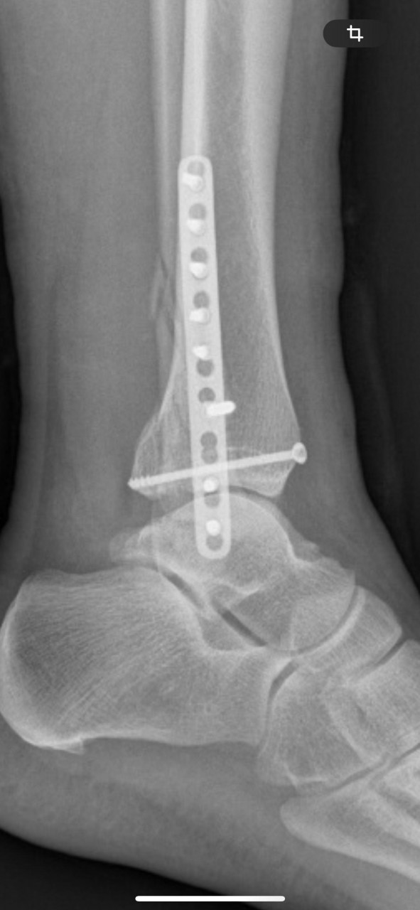
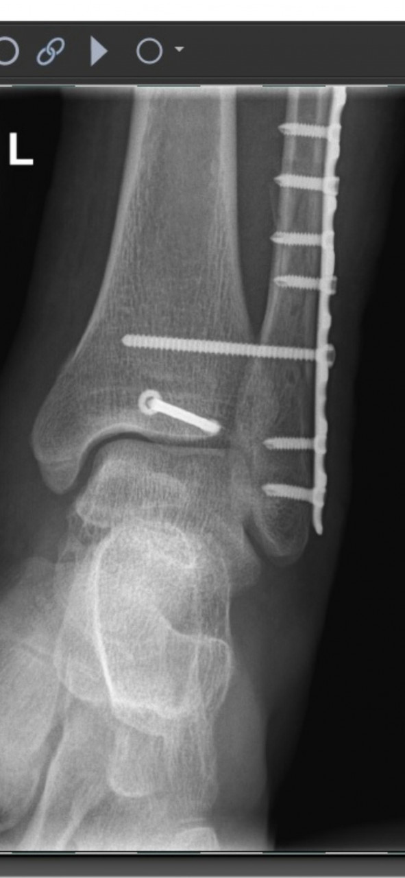
Сегодня, спустя 7 недель, сделал контрольный снимок голеностопа. Прикладываю снимки после оперрации и спустя семь недель. Хочу узнать ваше мнение. Можно начинать лфк, начинать приступать на ногу?
1. После операции https://iimg.su/i/aR7iEg
2. После операции https://iimg.su/i/8z8B6b
3. Спустя 7 недель https://iimg.su/i/Be028n
4. Спустя 7 недель https://iimg.su/i/8T1HpG

  • Возраст: 37
  • Хронические заболевания: нет
закрыто с пометкой: вопрос закрыт по истечении срока давности

1 Ответ

Опыт: 22 года
Ортопед
10 Июнь, 25
Здравствуйте. По контрольному снимку через 7 недель конструкция стабильна, видно начало консолидации. Можно постепенно начинать щадящую ЛФК (пассивные и активные движения, изометрические упражнения) и опираться на ногу частично в ортезе, полную нагрузку можно после 10-12 недель и повторного контроля. Каждый случай индивидуален, и без очного осмотра точную рекомендацию дать сложно. Поэтому обратитесь к своему ортопеду, для точной оценки.
0 голосов

Ваше мнение очень важно для нас. Оставьте отзыв о работе нашего портала

Оставить отзыв

Популярные запросы пользователей

...