Вопрос в категории "травматолог" /

Большое Спасибо! Посмотрите еще стопу, пожалуйста

Сергей 2 26 Сен, 25
Вопрос закрыт
1 Ответ
Здравствуйте, большое спасибо за ответ, немного успокоили меня!

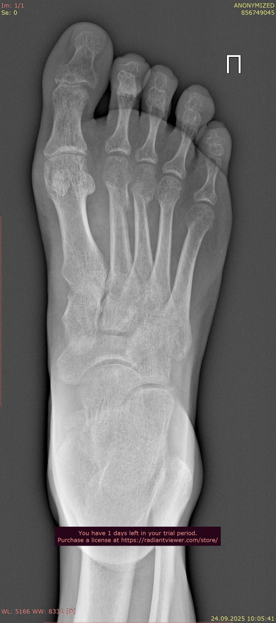
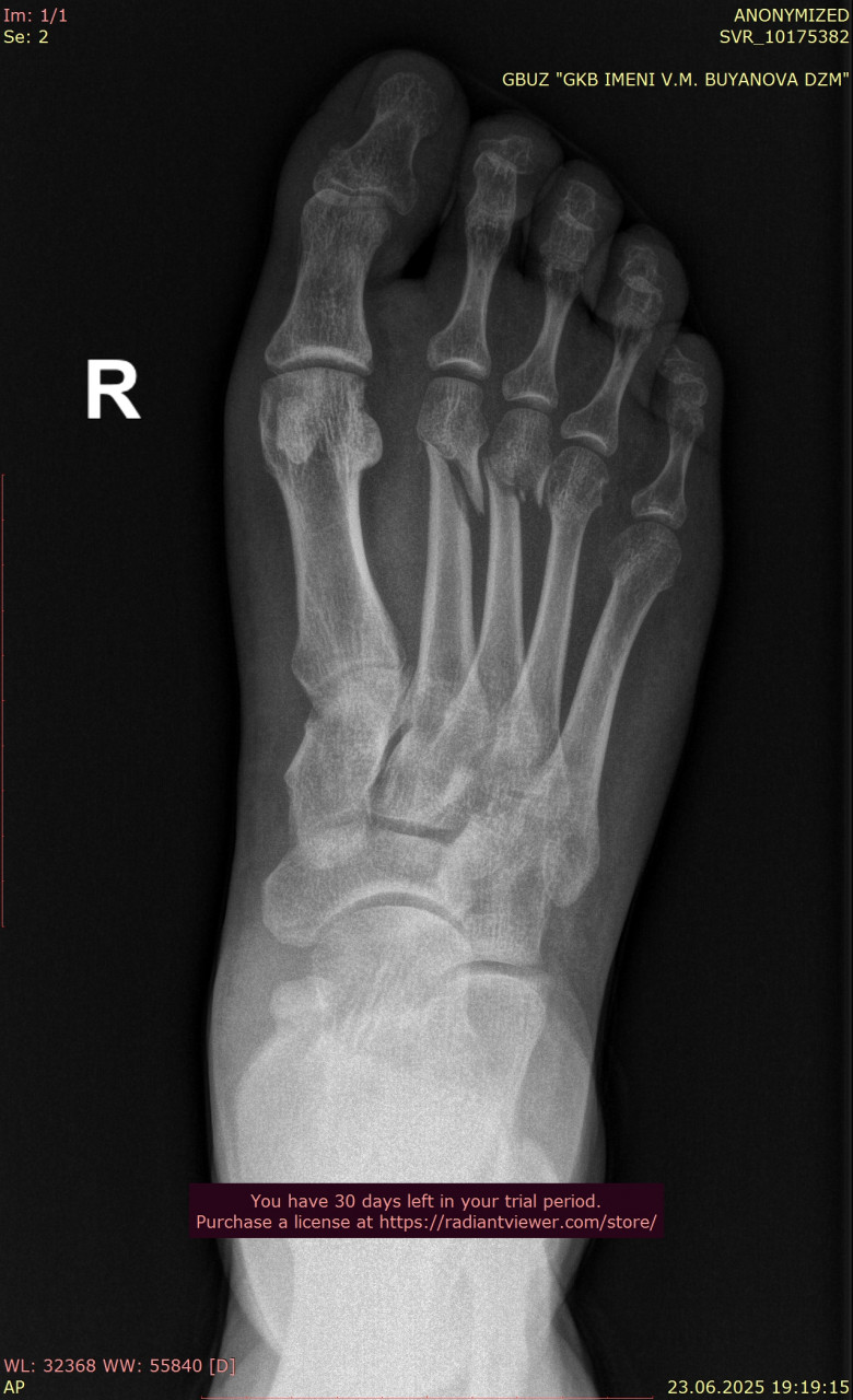
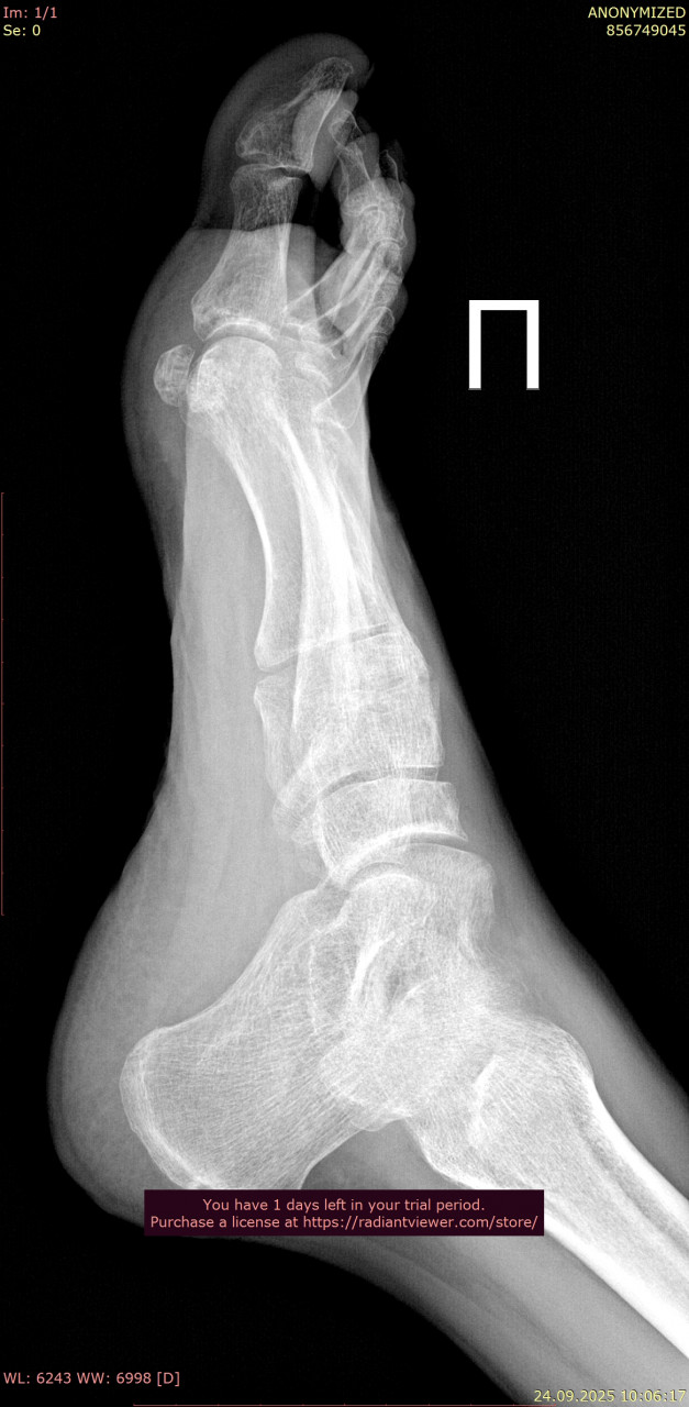
 Прикрепляю снимки стопы от даты перелома 23.06.2025 (одна проекция из за лимита файлов на сайте} , и спустя 3 месяца от 24.09.2025. Как Вы считаете, переломы зажили окончательно, проблем быть не должно? В дополнение про выбор стелек: в ортопедическом салоне можно просто сказать, что у меня остеоартроз голеностопного сустава и попросить недорогие стельки по размеру?
  • Возраст: 40
  • Хронические заболевания: Нет данных
закрыто с пометкой: был выбран лучший ответ

1 Ответ

Опыт: 28 лет
Травматолог
26 Сен, 25
 
Лучший ответ

Здравствуйте. На новых снимках переломы срослись, кость выглядит восстановленной, грубых осложнений не видно. Проблем при обычной нагрузке быть не должно. В салоне действительно можно сказать про остеоартроз голеностопа и подобрать недорогие готовые стельки по размеру и этого на начальном этапе будет достаточно.

+1 голос

Ваше мнение очень важно для нас. Оставьте отзыв о работе нашего портала

Оставить отзыв

Популярные запросы пользователей

...