Вопрос в категории "травматолог" /

Перелом плюсневых костей стопы и лодыжки

Дмитрий Л 09 Авг, 25
Вопрос закрыт
1 Ответ
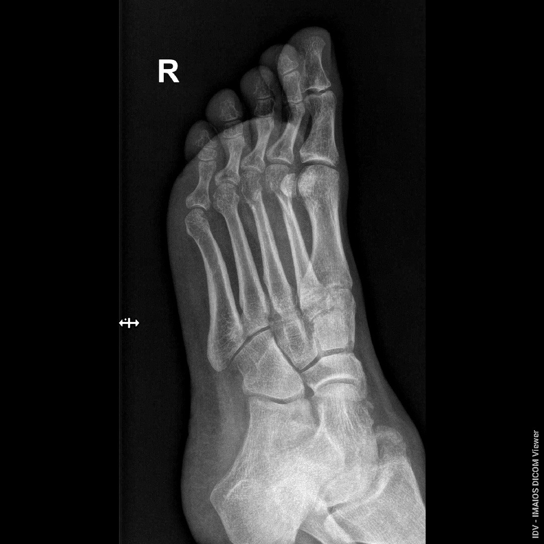
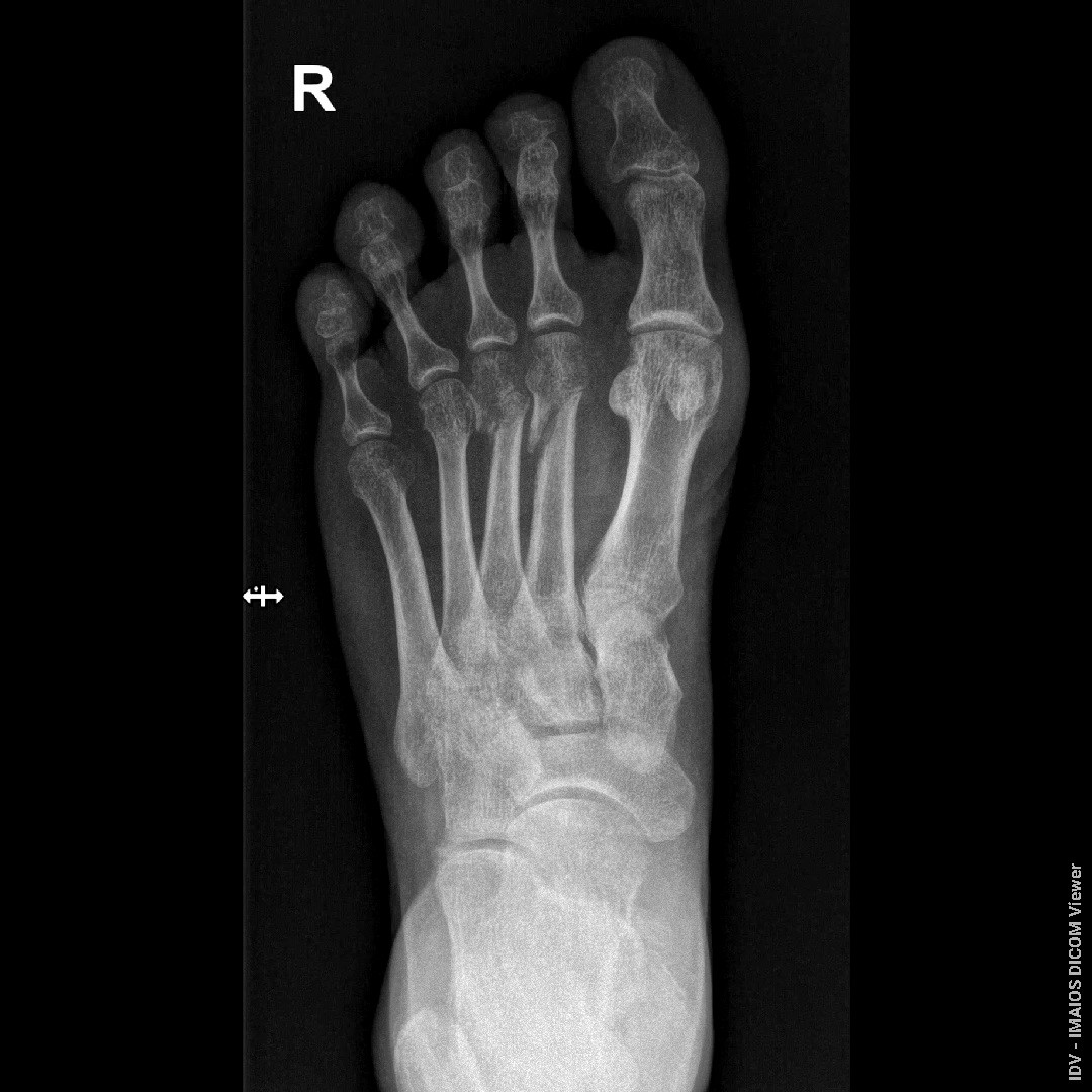
Здравствуйте, Доктор! Перелом был 23.06.2025. посмотрите пожалуйста снимки от 08.08.2025, срослись ли переломы, образовалась ли костная мазоль, можно ли начинать ходить?

Муж, 38 лет рост 179, вез 63, диагноз- остеопения. Заранее спасибо!
  • Возраст: 38
  • Хронические заболевания: Остеопения
закрыто с пометкой: вопрос закрыт по истечении срока давности

1 Ответ

Опыт: 30 лет
Травматолог
09 Авг, 25
Здравствуйте. По представленным снимкам видны признаки формирования костной мозоли в области перелома, что говорит о начале сращения однако линия перелома ещё прослеживается, и полное костное сращение скорее всего не завершено. Начинать ходить без опоры пока рано и нагрузку нужно увеличивать постепенно и только по разрешению лечащего травматолога после клинического осмотра и контрольного рентгена.
+1 голос

Ваше мнение очень важно для нас. Оставьте отзыв о работе нашего портала

Оставить отзыв

Популярные запросы пользователей

...