Вопрос в категории "травматолог" /

Разрастание костей в области внутренней лодыжки

Дмитрий Л 29 Авг, 25
Вопрос закрыт
1 Ответ
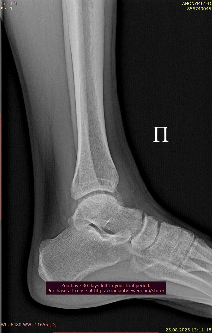
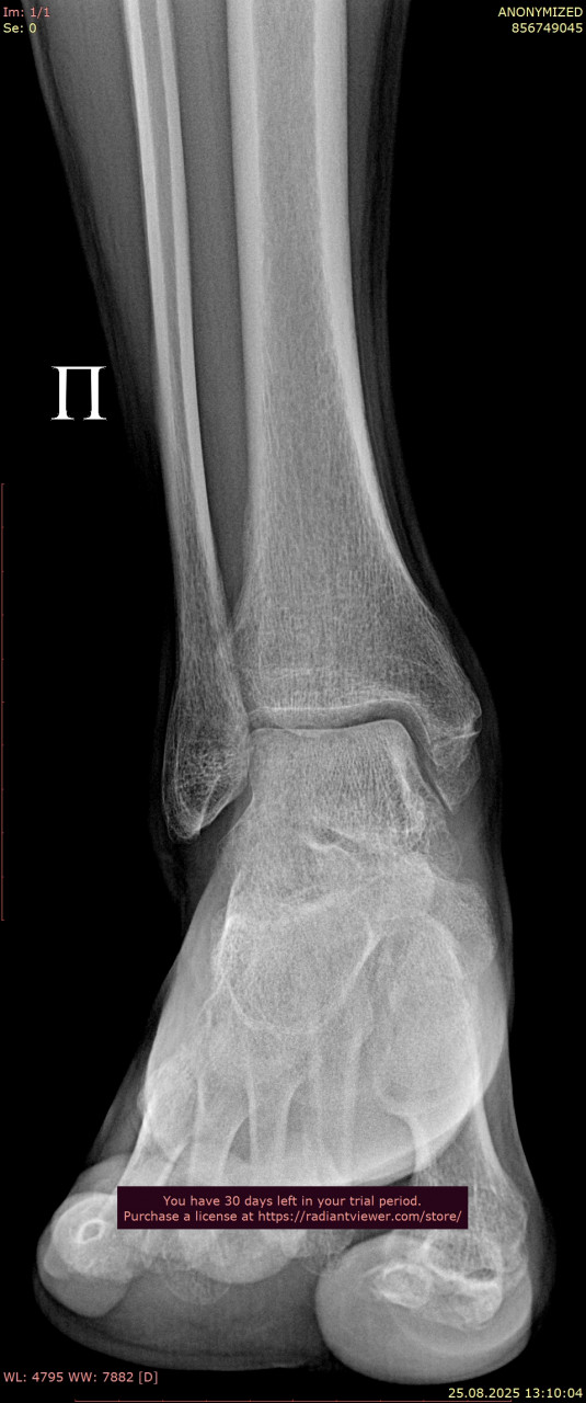
Здравствуйте еще раз! Прошу прощения за то, что задаю много вопросов, но сильно переживаю, т.к. моя работа связана с физ нагрузками.
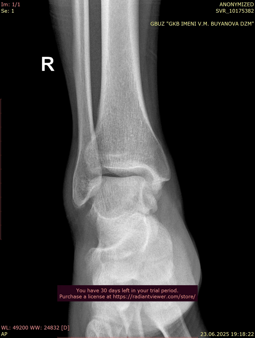
Посмотрите, пожалуйста, еще раз снимки голеностопного сустава, от 23.06.2025, когда был перелом (прикрепляю только 1 проекцию из за лимита файлов на сайте) и от 25.08.2025. Нет ли избыточного разрастания костей в области внутренней лодыжки? Если есть, то какие могут быть последствия? На сегодняшний день боли и ограничения подвижности пока нет. Заранее спасибо!
  • Возраст: 38
  • Хронические заболевания: Остеопения
закрыто с пометкой: вопрос закрыт по истечении срока давности

1 Ответ

Опыт: 18 лет
Травматолог
29 Авг, 25
Здравствуйте. По контрольным снимкам от 25.08 выраженного избыточного костного разрастания в области внутренней лодыжки не видно и отмечается формирование нормального костного мозоля. Если в дальнейшем появятся боли или ограничение движений это может указывать на избыточное разрастание, но сейчас сустав выглядит благополучно. Рекомендую продолжать наблюдение и выполнять ЛФК.
29 Авг, 25
Владимир Геннадьевич, Большое Спасибо Вам за ответ!

Мне порекомендовали принимать остеогенон, т.к. есть еще переломы плюсневых костей этой ноги, завтра планировал его купить. Подскажите, пожалуйста, может ли прием остеогенона вызватб разрастание кости в области внутренней лодыжки в будующем?
+1 голос

Ваше мнение очень важно для нас. Оставьте отзыв о работе нашего портала

Оставить отзыв

Популярные запросы пользователей

...