Вопрос в категории "травматолог" /

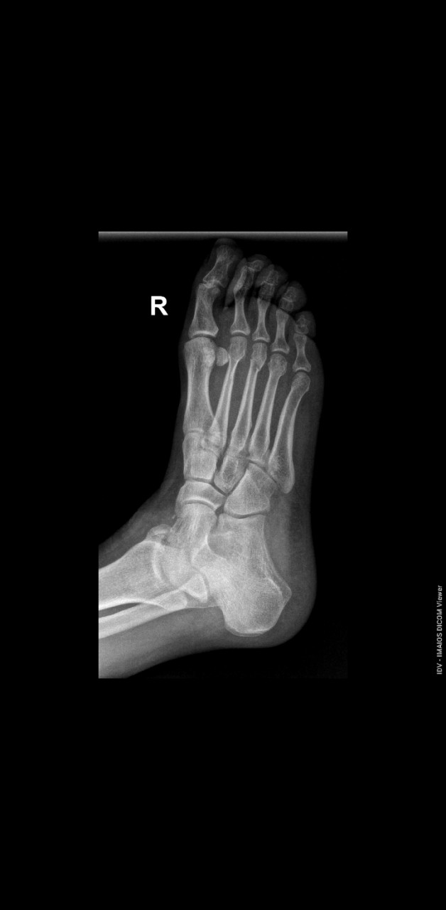
Перелом плюсневых

Дмитрий Л 22 Июль
Вопрос закрыт
1 Ответ
Здравствуйте доктор!  Подскажите, пожалуйста, нужна ли при таком переломе операция или достаточно гипса?
  • Возраст: 38
  • Хронические заболевания: Нет данных
закрыто с пометкой: вопрос закрыт по истечении срока давности

1 Ответ

Опыт: 30 лет
Травматолог
22 Июль

Здравствуйте. На представленных рентгенограммах виден перелом основания пятой плюсневой кости (возможно по типу перелома Джонса). Смещение минимальное, линии перелома ровные. Если нет значительного смещения и фрагменты стабильны тогда обычно достаточно иммобилизации (гипс или ортез) и покоя. Но окончательное решение о тактике лечения принимается очно с учётом симптомов, осмотра и контроля снимков в динамике.

+1 голос

Ваше мнение очень важно для нас. Оставьте отзыв о работе нашего портала

Оставить отзыв

Популярные запросы пользователей

...