Вопрос в категории "травматолог" /

Перелом 5 плюсневой кости

Денис Букин 08 Дек, 25
Вопрос закрыт
2 Ответа

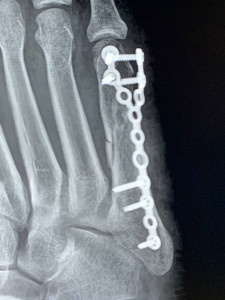
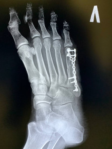
Добрый день. Мне 39 лет, получил перелом 5 плюсневой кости 3 ноября, 7 ноября прооперировали и поставили пластину. Сегодня сделал рентген 08.12.2025. Когда можно уже наступать на ногу и ходить. Срок 5 неделя наступила

  • Возраст: 39
  • Хронические заболевания: нет
закрыто с пометкой: Пациент получил ответ на свой вопрос

2 Ответа

Опыт: 18 лет
Травматолог
09 Дек, 25
Здравствуйте. По снимкам фиксация стабильная, но срок ещё небольшой. Полную опору обычно разрешают после контрольного осмотра и оценки сращения у вашего травматолога. Сейчас можно частичную нагрузку с опорой на пятку и в ортезе до решения лечащего врача.
09 Дек, 25
Спасибо
+1 голос

Ваше мнение очень важно для нас. Оставьте отзыв о работе нашего портала

Оставить отзыв

Популярные запросы пользователей

...