Вопрос в категории "травматолог" /

Перелом? (Добавлены фото)

Svetjaklin111 02 Окт, 25
Вопрос закрыт
2 Ответа
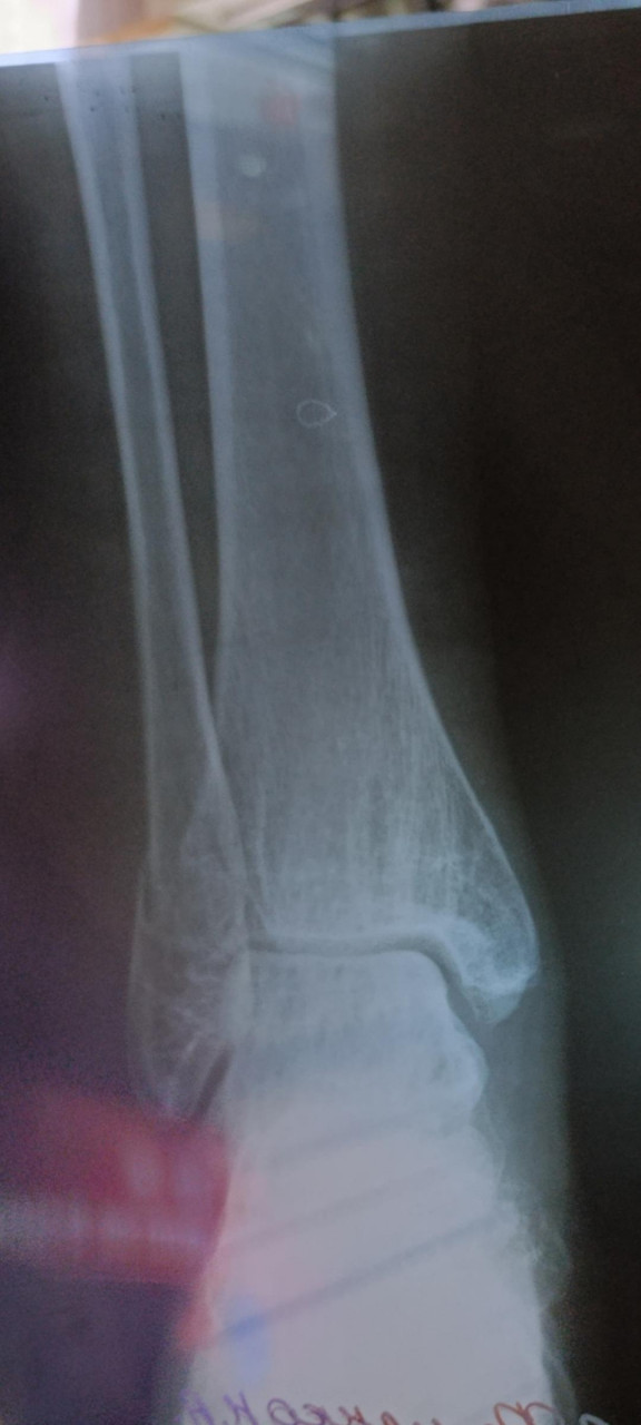
Здравствуйте. Добавила более ясное фото.. Такой снимок на рентгене. У меня перелом, а вот чего именно врач не сказал. Кости или самой лодыжки? Наложили гипс, но он очень стал давить. Пришла на прием к травматологу и его сняли с болью, просто ужас. И

отправили домой, вообще без ничего. Сказали купите ортез и носите. Оденете дома. Я на костылях пропрыгала почти 2 суток в эластичном бинте. Скажите пожалуйста, снятие гипса не может повлечь за собой дальнейшее смещение и перелом именно какой части у меня? Спасибо
  • Возраст: 50
  • Хронические заболевания: Нет данных
закрыто с пометкой: Пациент получил ответ на свой вопрос

2 Ответа

Опыт: 18 лет
Травматолог
02 Окт, 25
Здравствуйте. На снимках виден перелом в области лодыжки, предположительно дистального отдела малоберцовой кости. Снимок с красным пятном не информативен для оценки. Снятие гипса при нестабильных переломах может привести к смещению, поэтому ортез нужно носить постоянно, а контрольный рентген обязателен. Рекомендую как можно скорее повторно обратиться к травматологу для уточнения стабильности перелома и правильной фиксации.
02 Окт, 25
Спасибо большое

Пожалуйста. Рад  был помочь. 

+1 голос

Ваше мнение очень важно для нас. Оставьте отзыв о работе нашего портала

Оставить отзыв

Популярные запросы пользователей

...