Вопрос в категории "травматолог" /

"На снимке перелом или трещина? "

Svetjaklin111 02 Окт, 25
Вопрос закрыт
1 Ответ
Здравствуйте. У меня перелом, а вот чего именно врач не сказал. Кости или самой лодыжки? Наложили гипс, но он очень стал давить. Пришла на прием к травматологу и его сняли с болью, просто ужас. И отправили домой, вообще без ничего. Сказали купите ортез и носите. Оденете дома. Я на костылях пропрыгала почти 2 суток в эластичном бинте. Скажите пожалуйста, снятие гипса не может повлечь за собой дальнейшее смещение и перелом именно какой части у меня? Спасибо
  • Возраст: 50
  • Хронические заболевания: Нет данных
закрыто с пометкой: Спасибо.Получен ответ. Задан другой вопрос с добавлением фото.

1 Ответ

Опыт: 18 лет
Травматолог
02 Окт, 25
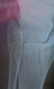
Здравствуйте. На этом рентгеновском снимке изображение получилось не очень чётким из-за бликов и неравномерного освещения и как я понимаю красное это ноготь, но перелома или выраженной трещины на видимых участках костей я не вижу. Однако для точной оценки нужны как минимум две проекции и осмотр врачом-травматологом. По одному фото плохого качества окончательный вывод сделать нельзя.
02 Окт, 25
Здравствуйте, Владимир Геннадьевич, я поменяла фото в вопросе. Не могли б вы взглянуть ещё раз. Спасибо
+1 голос

Ваше мнение очень важно для нас. Оставьте отзыв о работе нашего портала

Оставить отзыв

Популярные запросы пользователей

...