Вопрос в категории "травматолог" /

Срослись ли переломы, нужен ли рентген в будущем

Дмитрий Л 05 Сен, 25
Вопрос закрыт
1 Ответ
Здравствуйте!

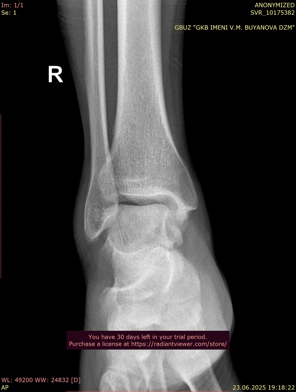
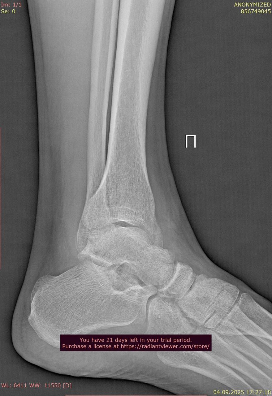
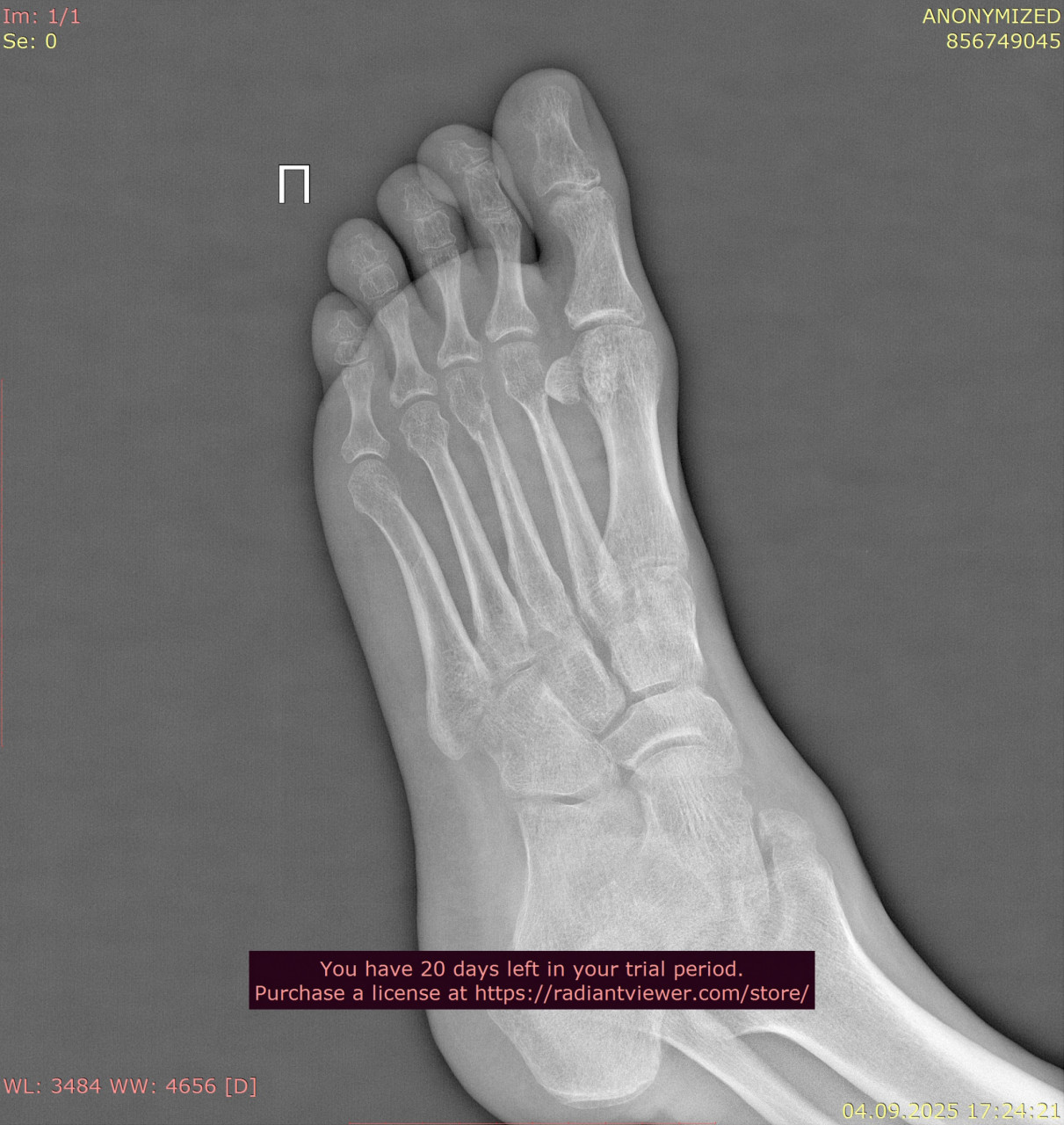
Посмотрите, пожалуйста, снимки стопы от 23.06.2025, когда был перелом, и спустя почти 11 недель от 04.09.2025. Как Вы считаете, переломы срослись нормально, или есть необходимость сделать еше один рентген в будущем? Можно ли переходить к обычному режиму нагрузок? У меня есть еще вторая проекция от 23.06.2025 и снимки голеностопного сустава, там тоже был перелом, но лимит сайта 3 файла. Остальные файлы могу прикрепить к Вашему ответу.
  • Возраст: 38
  • Хронические заболевания: Остеопения
закрыто с пометкой: вопрос закрыт по истечении срока давности

1 Ответ

Опыт: 30 лет
Травматолог
05 Сен, 25
Здравствуйте. Судя по срокам и динамике на снимках, перелом срастается удовлетворительно, костная мозоль сформирована и переходить к постепенной нагрузке можно, но окончательное решение и необходимость повторного рентгена определяет ваш лечащий травматолог с учётом клиники и остеопении.
05 Сен, 25
Еще раз здравствуйте, Большое Спасибо за ответ!

Посмотрите, пожалуйста, еще снимки голеностопного сустава от 23.06.2025, когда был перелом, и спустя почти 11 недель от 04.09.2025. Нормально ли сросся перелом, нужны ли еще снимки?
+1 голос

Ваше мнение очень важно для нас. Оставьте отзыв о работе нашего портала

Оставить отзыв

Популярные запросы пользователей

...