Дмитрий Л 26 Авг, 25
Вопрос закрыт
4 Ответа
Здравствуйте, Доктор!

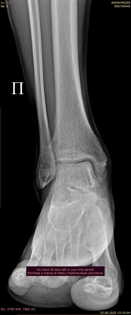
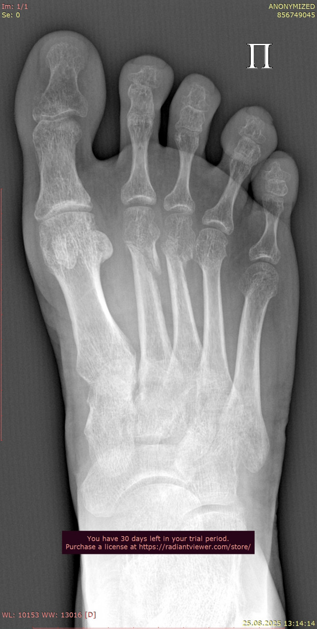
Посмотрите, пожалуйста, снимки стопы и лодыжки от 25.08.2025, перелом был 9 недель назад, 23.08.2025, прикрепляю только прямую проекцию так как лимит сайта 3 файла. Зажили ли переломы, можно ли начинать ходить без дополнительной опоры? Мне 38, мужчина, рост 179, вес 64. Мне говорили что на снимках есть артроз суставов. Подскажите, пожалуйста, насколько он выражен, опасно ли это? Может нужны процедуры, лекарства?
  • Возраст: 38
  • Хронические заболевания: Остеопения
закрыто с пометкой: вопрос закрыт по истечении срока давности

4 Ответа

Опыт: 28 лет
Травматолог
26 Авг, 25
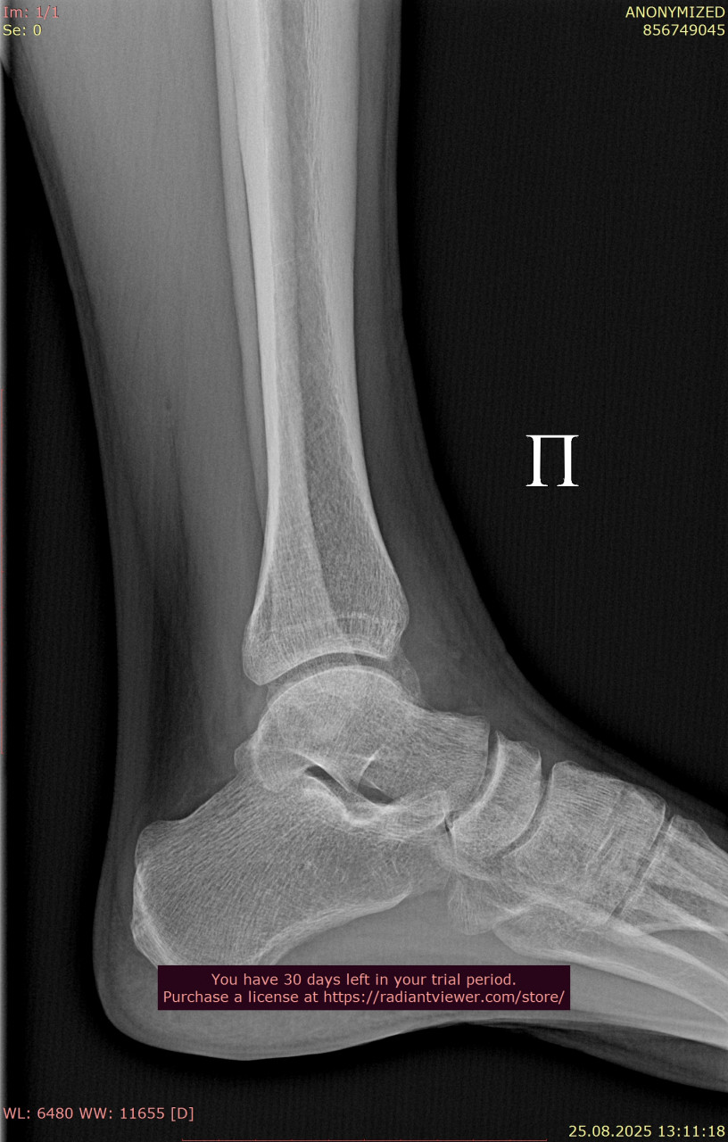
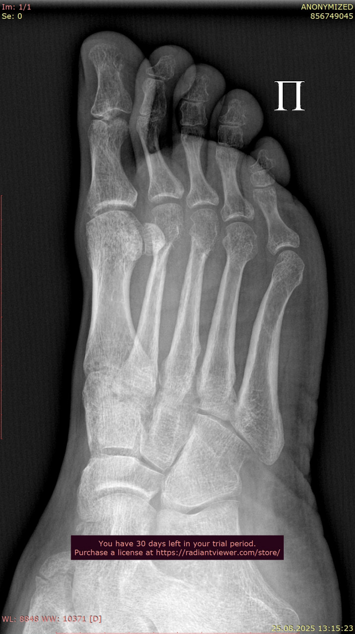
Здравствуйте. На представленных снимках признаки консолидации перелома есть, но судить окончательно о степени сращения и возможности полной нагрузки можно только по всем проекциям. Остальные снимки можно прикрепить ниже при ответе для более точной оценки.
26 Авг, 25
Андрей Павлович, Большое Спасибо Вам за ответ! Прикрепляю недостающий снимок стопы от 23.06.2025, когда был перелом, и снимки лодыжки от 25.08.2025, вчерашние, здесь тоже лимит файлов, снимки лодыжки от даты перелома могу прикрепить в следующем комментарии, и если Вас не затруднит, подскажите, пожалуйста, сильный ли у меня артроз суставов для возраста 38 лет?
26 Авг, 25
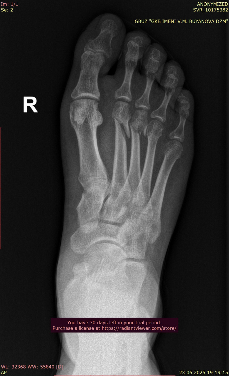
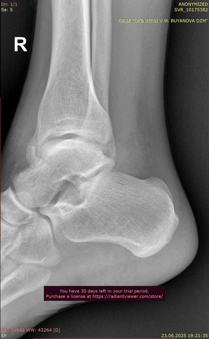
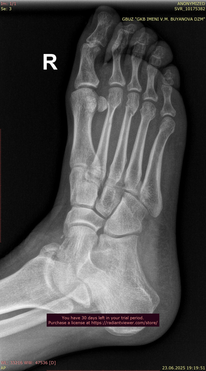
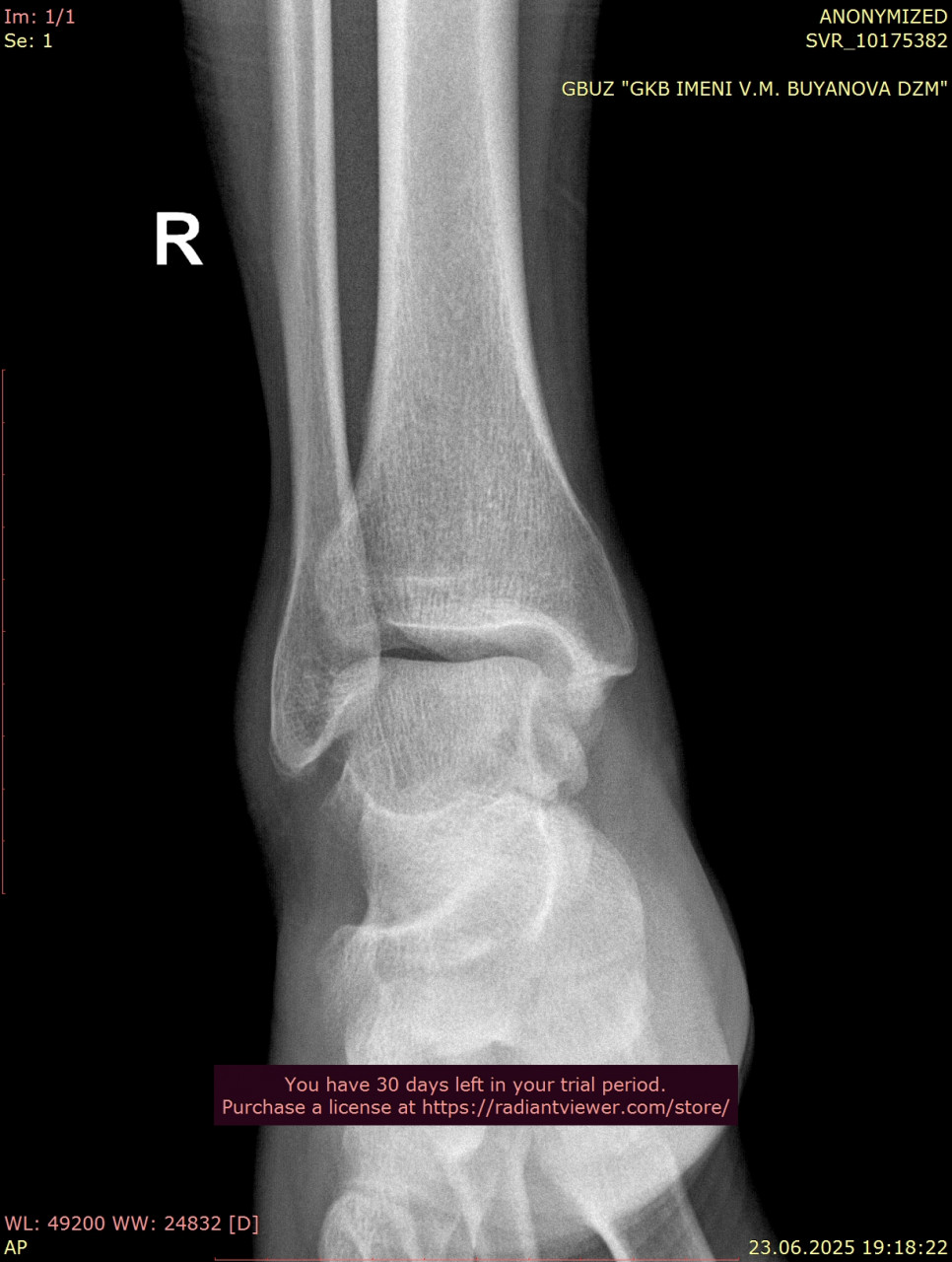
Прикрепляю снимки лодыжки от 23.06.2025, когда был перелом
Это все имеющиеся снимки?

Сравнивая ваши снимки от 23.06 и 25.08:

- Линии переломов на костях стопы и области голеностопного сустава больше не прослеживаются чётко, видна формирующаяся костная мозоль – это признак заживления.

- Смещения отломков нет, контуры выровнены, что говорит о правильном срастании.
- Для срока 2 месяца после перелома динамика положительная, основные признаки консолидации присутствуют. Обычно к этому времени разрешают постепенную нагрузку, но полное снятие опоры (ходьба без костылей, тростей) должно быть постепенным и согласовано с вашим травматологом.

По поводу артроза, на рентгене действительно заметны начальные изменения в суставах стопы (сужение суставных щелей, небольшие краевые разрастания), но они умеренные и для 38 лет не критичны. Такие изменения часто встречаются после травм и нагрузок, но выраженного деформирующего артроза нет.

Рекомендации:
- Начинайте с частичной нагрузки (с тростью или одним костылём), переходя к полной ходьбе за 1-2 недели.
- Делайте ЛФК для стопы и голеностопа, массаж, физиопроцедуры для улучшения кровообращения.
- Для профилактики прогрессирования артроза полезны поддержание нормального веса, удобная обувь, периодические курсы хондропротекторов и контроль нагрузки.

В целом перелом зажил, артроз начальный и неопасный и при правильной реабилитации прогноз хороший.

27 Авг, 25
Еще раз Здравствуйте! Огромное спасибо за такой развернутый ответ!!!

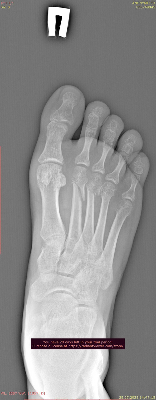
Я хожу на ходунках уже 4 недели с 28 07.2025, тогда доктор снял гипс, мне сделали рентген (снимки прилагаю только стопы, рентген голенастопа доктор не сделал в тот день, сказал нет необходимости.) Доктор сказал ходить на ходунках 3 недели, затем ходить без ходунков. Вчера доктор разрешил ходить без дополнительной опоры, опираясь в основном на пятку или на всю стопу. Боли нет, но я боюсь не перегрузит ли токая ходьба лодыжку там же тоже перелом, или там уже хорошая консолидация по снимкам от 25.08.2025? И насколько приемлем такой способ ходьбы, ведь пальцы не сгибаются, я просто переставляю ногу. Как думаете, долго ли нужно так ходить? Доктор сказал принимать Остеогенон, не может ли он усилить артроз? я читал что он может способствовать образованию остеофитов в суставах. Заранее спасибо!

По вашим новым снимкам от 28.07 и контрольным от 25.08 признаков несращения или смещения нет т.к переломы в области стопы и голеностопного сустава консолидируются, костная мозоль выражена, контуры ровные. То есть прочность костей уже достаточна, чтобы постепенно начинать ходьбу без ходунков. То, что вы пока ставите ногу без активного сгибания пальцев, допустимо и так обычно и бывает на этапе ранней нагрузки. Постепенно с помощью ЛФК и разминки подвижность пальцев и стопы восстановится. Перегрузки голеностопа при аккуратной ходьбе на полной стопе сейчас не будет, наоборот  умеренная нагрузка нужна для правильного ремоделирования костной ткани.

По поводу Остеогенона  он не усиливает артроз и не вызывает патологическое образование остеофитов. Его задача  помогать костной ткани восстанавливаться. Артрозные изменения у вас минимальные и для возраста 38 лет неопасные, главное это избегать лишней нагрузки и делать упражнения.

Обычно ходьба «жёсткой походкой» длится ещё 2-4 недели, затем движения становятся естественнее по мере восстановления функции суставов.

+1 голос

Ваше мнение очень важно для нас. Оставьте отзыв о работе нашего портала

Оставить отзыв

Популярные запросы пользователей

...