Вход
Задать вопрос
Вход
Консультации
Врачи
Помощь
Контакты
Категории
Аллерголог-иммунолог (103)
Андролог (88)
Анестезиолог-реаниматолог (112)
Трихолог (Болезни волос) (11)
Венеролог (66)
Ветеринар (1021)
Гастроэнтеролог (730)
Гематолог (130)
Гепатолог (51)
Гинеколог (1800)
Гинеколог-эндокринолог (111)
Гирудотерапевт (101)
Гомеопат (103)
Дерматолог (757)
Детский гинеколог (26)
Детский дерматолог (184)
Детский лор (78)
Детский невролог (124)
Детский нефролог (103)
Детский стоматолог (37)
Детский хирург (32)
Диетолог (54)
Инфекционист (203)
Кардиолог (447)
Кардиохирург (10)
Косметолог (39)
Лечение бесплодия (73)
Логопед (108)
Лор (418)
Маммолог (96)
Мануальный терапевт (104)
Массажист (108)
Нарколог (15)
Невролог (694)
Нейрохирург (29)
Нефролог (54)
Онколог (153)
Ортодонт (92)
Ортопед (113)
Офтальмолог (244)
Педиатр (1018)
Пластический хирург (4)
Проктолог (119)
Психиатр (251)
Психолог (45)
Психотерапевт (123)
Пульмонолог (126)
Расшифровка анализов (8)
Ревматолог (68)
Рентгенолог (34)
Репродуктолог (242)
Сексолог (70)
Сомнолог (114)
Сосудистый хирург (34)
Стоматолог (167)
Терапевт (1533)
Травматолог (225)
Уролог (305)
Фармацевт (17)
Физиотерапевт (107)
Флеболог (38)
Фтизиатр (31)
Хирург (320)
Хирург-стоматолог (35)
Эндокринолог (287)
Вопрос в категории "эндокринолог" /
Смогу ли еще подрасти?
danil123danil2005
23 Май, 25
Вопрос закрыт
0 Ответов
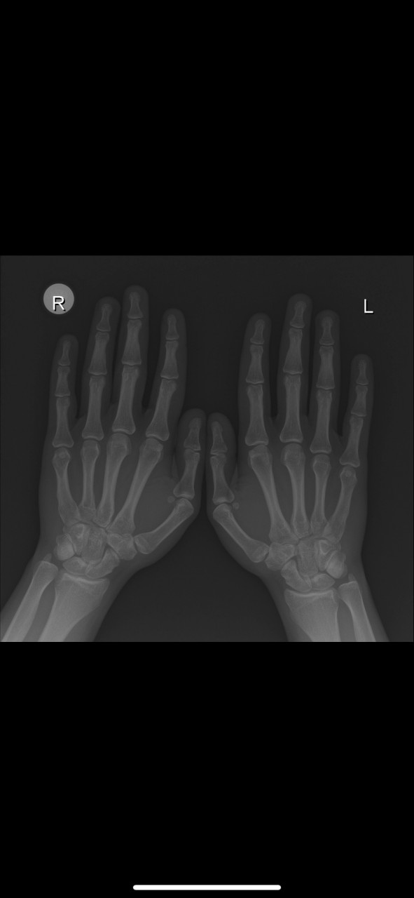
Добрый день. Мне 19. Рост 171. Рост отца 171. Рост матери 165. Смогу ли еще подрасти? Если да, то насколько примерно? Недавно делал рентген, прикрепляю.
Возраст:
19
Хронические заболевания:
нет
закрыто с пометкой:
вопрос закрыт по истечении срока давности
рост
0 Ответов
Ваше мнение очень важно для нас. Оставьте отзыв о работе нашего портала
Оставить отзыв
Похожие вопросы
Смогу ли я порасти еще?
Растут ли девочки после наступления месячных
Как повышенный пролактин влияет на вес
Как вырасти в 19 лет парню
ТТГ повышен при приеме эутирокса
Популярные запросы пользователей
ингаляция при температуре
можно ли забеременеть от предсеменной жидкости
лающий кашель у ребенка
Авторизация
Еще нет аккаунта?
Зарегистрироваться
Войти через социальные сети
или
Адрес электронной почты:
Пароль:
Забыли пароль?
Регистрация
Уже есть аккаунт?
Войти
Регистрация через социальные сети
или
Имя пользователя:
Пароль:
Электронная почта:
Конфиденциальность: Ваш электронный адрес не будет передан или продан третьим лицам.
Восстановление пароля
Lorem ipsum dolor sit ametconsectetur adipiscing
Адрес электронной почты:
Сообщение с инструкциями будет отправлено на ваш электронный адрес.
...