Вопрос в категории "травматолог" /

Перелом 5 плюсневой кости

Виталий 19 Дек, 25
Вопрос закрыт
2 Ответа
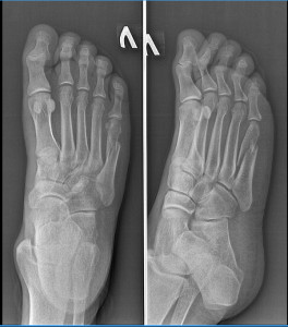
Добрый день. Получил перелом 5 плюсневой кости 18.12.2025, посоветуйте что тут лучше делать, либо ставить пластину либо  гипс без операции. Спасибо
  • Возраст: 39
  • Хронические заболевания: нет
закрыто с пометкой: Пациент получил ответ на свой вопрос

2 Ответа

Опыт: 18 лет
Травматолог
19 Дек, 25
Здравствуйте. По снимкам перелом 5-й плюсневой выглядит без значимого смещения. В таких случаях чаще выбирают консервативное лечение т.е иммобилизацию гипсом или ортезом и нагрузку с ограничением на 4-6 недель. Операция с пластиной обычно нужна только при выраженном смещении, нестабильности или угрожающих условиях для правильного срастания. Вашему травматологу виднее по очной оценке, но по рентгену показаний к обязательной фиксации пластиной не видно.
20 Дек, 25
Спасибо большое
0 голосов

Ваше мнение очень важно для нас. Оставьте отзыв о работе нашего портала

Оставить отзыв

Популярные запросы пользователей

...