Вопрос в категории "травматолог" /

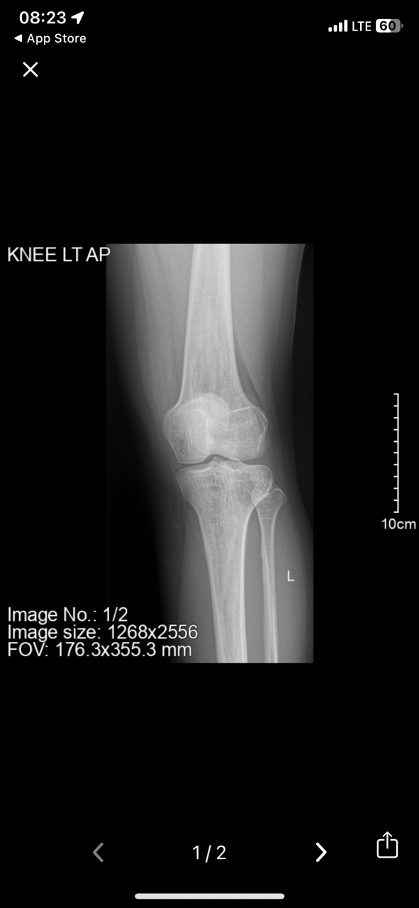
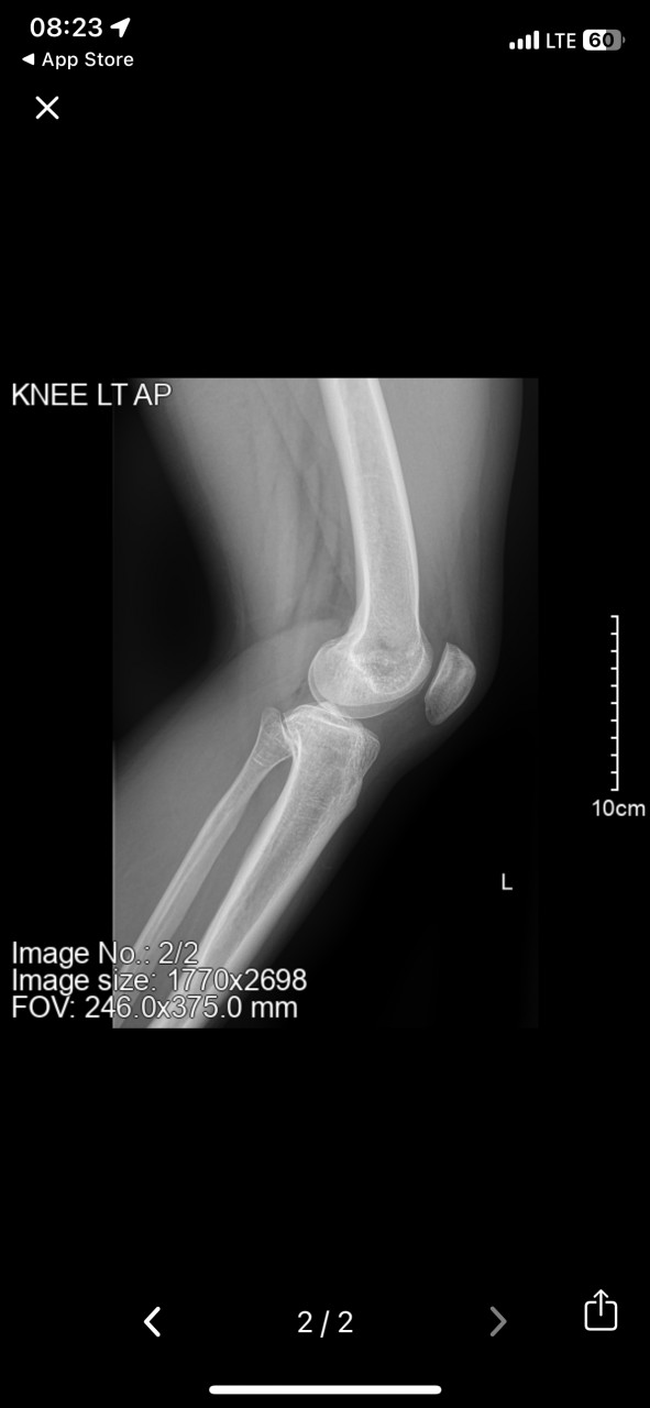
Заключение Очаговое структурное изменение наружного мыщелка левой большеберцовой кости.

Ксенка 06 Авг, 25
Вопрос закрыт
1 Ответ
Могу узнать, что у меня с коленом? Есть отёк? Чем мазать?
  • Возраст: 28
  • Хронические заболевания: Нет
закрыто с пометкой: вопрос закрыт по истечении срока давности

1 Ответ

Опыт: 18 лет
Травматолог
06 Авг, 25

Здравствуйте. На рентгене видно очаговое изменение в наружном мыщелке большеберцовой кости  это может быть следствием нагрузки, травмы или дегенеративного процесса. Наличие или отсутствие отёка по снимку не определить т.к отёк оценивается при осмотре, пальпации или с помощью УЗИ,МРТ.

Если есть отёк и боль, временно можно применять нестероидные противовоспалительные мази (например Диклофенак, Фастум-гель), но лучше уточнить диагноз очно при осмотре.

0 голосов

Ваше мнение очень важно для нас. Оставьте отзыв о работе нашего портала

Оставить отзыв

Популярные запросы пользователей

...