Ellen Play 19 Июнь, 25
Вопрос закрыт
2 Ответа
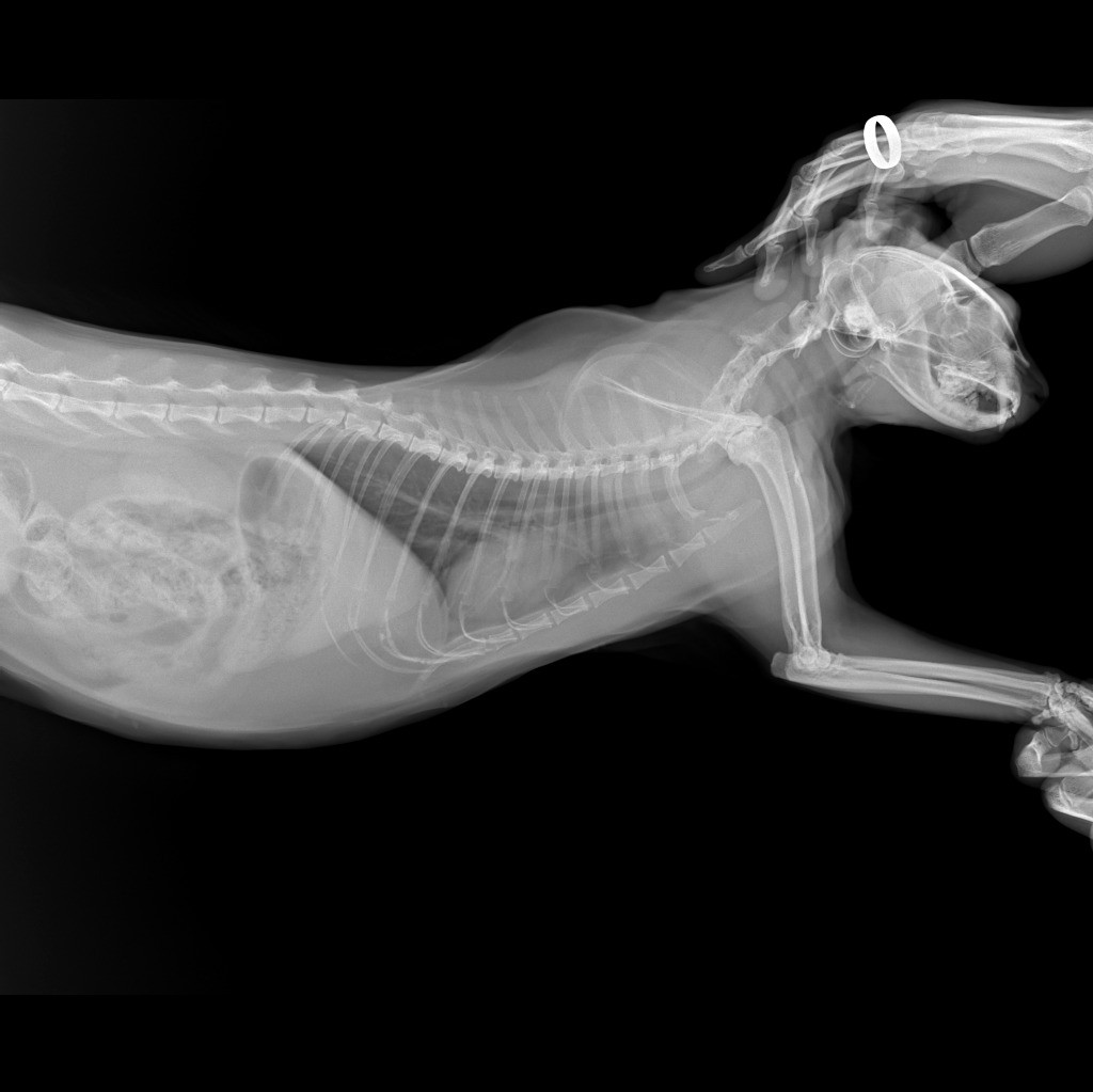
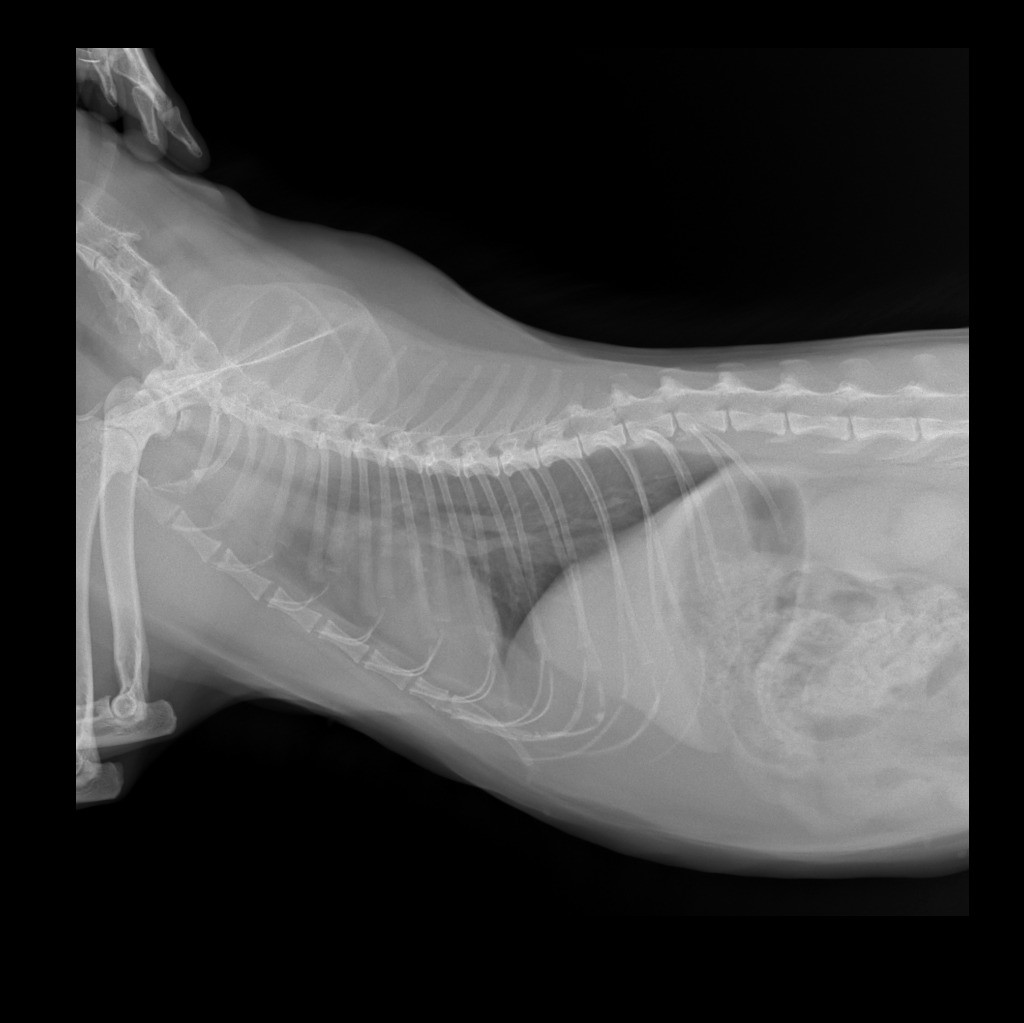
здравствуйте! Кошка начала кашлять, опустив вниз голову и высунув язык трубочкой, шерсть не выходит, длительность приступа около 30сек. Сделали рентген легких по рекомендации ветеринара, сердце проверили, в норме. Посмотрите пожалуйста рентген снимки, что по ним можно сказать?
  • Возраст: >10 лет
  • Хронические заболевания: Неизвестно
закрыто с пометкой: вопрос закрыт по истечении срока давности

2 Ответа

Опыт: 15 лет
Ветеринар
20 Июнь, 25
Здравствуйте. На рентгенограммах видим усиление бронхиального рисунка, что может указывать на хронический бронхит или начало бронхиальной астмы у кошки. Учитывая характер кашля (с вытянутой шеей и языком), вероятна бронхоспазматическая реакция. Рекомендую провести бронхоскопию или хотя бы анализ мокроты (если получится получить), а также рассмотреть ингаляционное лечение (с альбутеролом или флутиказоном).
0 голосов
Опыт: 14 лет
Ветеринар
20 Июнь, 25

Здравствуйте. На снимках нет явных признаков новообразований или отека легких, сердце действительно в пределах нормы. Однако в дорсовентральной проекции отмечается небольшое затемнение в каудальных отделах легких это может быть связано с воспалением или астматическим компонентом. Кашель может быть реакцией на аллерген или накопление слизи. Обратитесь к ветеринарному аллергологу или продолжите диагностику по плану. Если приступы станут чаще тогда стоит срочно обсудить назначение пробного курса бронхолитиков.

0 голосов

Ваше мнение очень важно для нас. Оставьте отзыв о работе нашего портала

Оставить отзыв

Популярные запросы пользователей

...