Вопрос в категории "ортодонт" /

Стоит ли удалять здоровые премоляры?

Татьяна Колышева 23 Ноя, 25
Вопрос закрыт
4 Ответа
У дочери узкая челюсть. Боковые резцы на верхней челюсти травмоопасно расположены вперед. На нижней челюсти заложена одна пятерка, находится в горизонтальном положении. С другой стороны пятерки нет. Врач предлагает удалить нижнюю пятерку, обе верхних и 4 зуба мудрости (тоже заложены, не вышли). И ставить брекеты.

Другой врач предлагал оставить все пятерки, нижнюю вытащить и поставить в ряд, а на противоположной стороне оставить одну восьмерку. Остальные три удалить. Для симметрии.

Очень жалко удалять здоровые верхние пятерки. Но, первый врач сказал, что при втором варианте симметрии всё равно не будет. Восьмерка не заменит отсутствующую на этой стороне пятерку.
  • Возраст: 14
  • Хронические заболевания: Нет данных
закрыто с пометкой: вопрос закрыт по истечении срока давности

4 Ответа

Опыт: 28 лет
Ортодонт
23 Ноя, 25

Здравствуйте. По снимкам видна скученность и узкая челюсть, поэтому для выравнивания зубных рядов действительно иногда приходится выбирать между удалением премоляров или более сложной схемой с вытяжением ретинированных зубов.

Если говорить коротко:

- удаление верхних пятёрок чаще всего даёт предсказуемую симметрию и хороший профиль
- вытяжение нижней заложенной пятёрки возможно, но долго и не всегда стабильно
- восьмёрка не заменяет по функции и положению пятёрку, поэтому симметрии во втором варианте добиться сложнее

Окончательный выбор зависит от точных расчётов ортодонта по КТ и анализа профиля. В 14 лет удаление премоляров при выраженной скученности это распространённая и обоснованная схема. Однако если есть сомнения, лучше получить очную консультацию третьего ортодонта, который работает и по системам без удаления, и по стандартным протоколам с удалением и так получите независимую оценку.

Огромное спасибо за быстрый и подробный ответ!

Вот есть еще такие снимки
По этим снимкам также видно выраженную скученность зубов и анатомически узкие зубные дуги. Нижняя пятёрка лежит неправильно, а верхним зубам явно не хватает места. Это подтверждает, что вариант с удалением части премоляров более предсказуем и стабильный для получения симметрии и правильного прикуса.
+1 голос
Опыт: 24 года
Ортодонт
23 Ноя, 25

Здравствуйте. По вашим КТ видно выраженную скученность, узкую верхнюю дугу и проблему с нижней пятёркой, один зачаток расположен горизонтально, второй отсутствует. При такой анатомии ортодонтическое лечение без удаления зубов часто приводит к нестабильному результату или чрезмерному расширению, которое челюсть просто не удержит.

По снимкам можно сказать следующее:

- верхние резцы действительно выдвинуты вперёд, места мало

- симметрия зубных рядов нарушена из-за отсутствия одной нижней пятёрки
- восьмёрки по расположению не выполнят функцию премоляров
 -вытяжение горизонтально лежащего зачатка пятёрки технически возможно, но долго, сложно и не всегда удачно
 -при сохранении всех зубов есть риск рецидива и ухудшения профиля лица

Поэтому вариант с удалением верхних пятёрок и проблемной нижней пятёрки выглядит более предсказуемым с точки зрения симметрии и стабильности результата. Это не значит, что другой план неверен, но он более рискованный и требует очень опытного врача и долгого лечения.

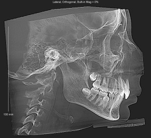
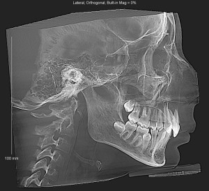
Большое спасибо за Ваше мнение! Есть еще такие снимки

По этим снимкам видно, что суставы и положение нижней челюсти также не дают достаточного пространства для безопасного расширения дуг. При такой анатомии лечение без удаления зубов может привести к перегрузке сустава и рецидиву. Поэтому удаление отдельных премоляров и проблемной нижней пятёрки остаётся более надёжным вариантом для стабильного результата.

+1 голос

Ваше мнение очень важно для нас. Оставьте отзыв о работе нашего портала

Оставить отзыв

Популярные запросы пользователей

...