Вопрос в категории "травматолог" /

Помогите, пожалуйста советом

Сергей 2 25 Сен, 25
Вопрос закрыт
1 Ответ

Здравствуйте! Прошу Вашего совета.
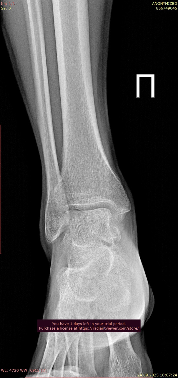
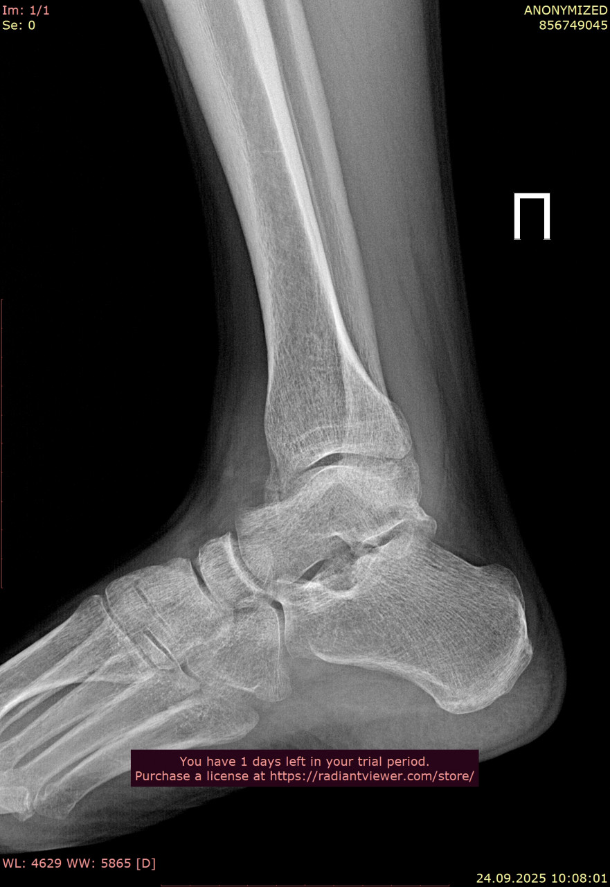
Доктор настоял на итоговом рентгене спустя 3 месяца после травмы, т.к. заживление было замедленным.
По поводу клинических проявлений: Отека нет, боли нет, хожу нормально, выполняю ЛФК, хотя в списке не так много упражнений, может где то можно их найти самостоятельно?
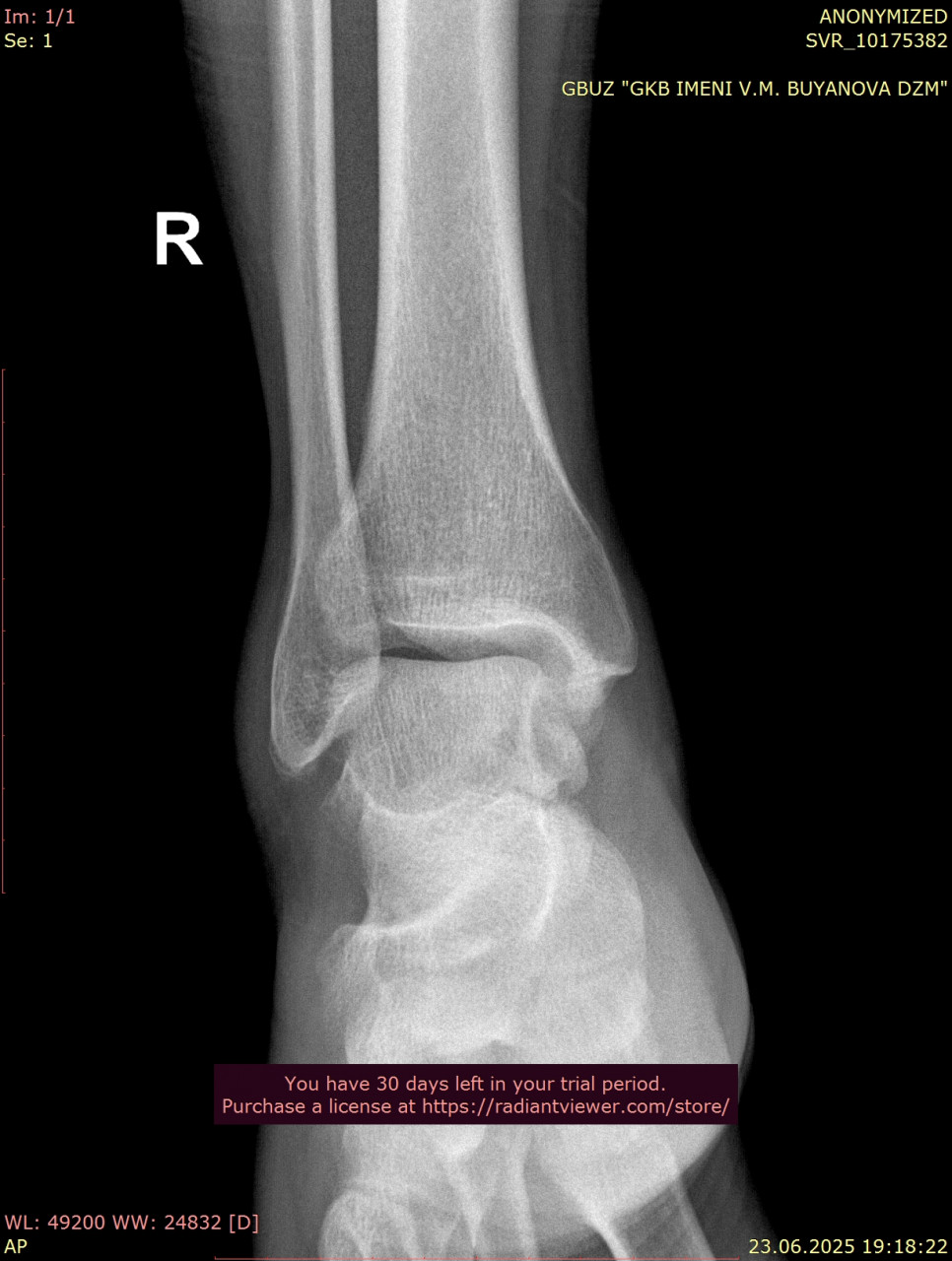
Посмотрите, пожалуйста, снимки голеностопного сустава от 23.06.2025, когда был перелом, и спустя 3 месяца от 24.09.2025. Как Вы считаете, полностью ли восстановился голеностопный сустав, артроз обязательно приведет к болям при ходьбе в ближайшие годы, можно ли этого избежать? Ведь до пенсии теперь еще далеко( Сейчас собираюсь подбирать ортопедические стельки, может посоветуете как это сделать подешевле, из за длительной нетрудоспособности денег почти нет. Смог прикрепить только одну проекцию от дыты переломаб еще есть снимки стопы, там перелом плюсневых.

  • Возраст: 40
  • Хронические заболевания: Нет данных
закрыто с пометкой: был выбран лучший ответ

1 Ответ

Опыт: 28 лет
Травматолог
26 Сен, 25
 
Лучший ответ
Здравствуйте. На контрольных снимках костная структура выглядит восстановленной, консолидация произошла, признаков грубых осложнений нет. Артроз после таких травм возможен, но при отсутствии боли и отёка риск выраженных проблем в ближайшие годы невелик, особенно если продолжать ЛФК и постепенно наращивать нагрузку. Стельки лучше подбирать индивидуально, даже самые простые готовые варианты из аптек или ортопедических салонов могут помочь и стоят дешевле индивидуальных.
+1 голос

Ваше мнение очень важно для нас. Оставьте отзыв о работе нашего портала

Оставить отзыв

Популярные запросы пользователей

...