Вопрос в категории "терапевт" /

Расшифровка рентгена

Malasti 12 Сен, 25
Вопрос закрыт
2 Ответа
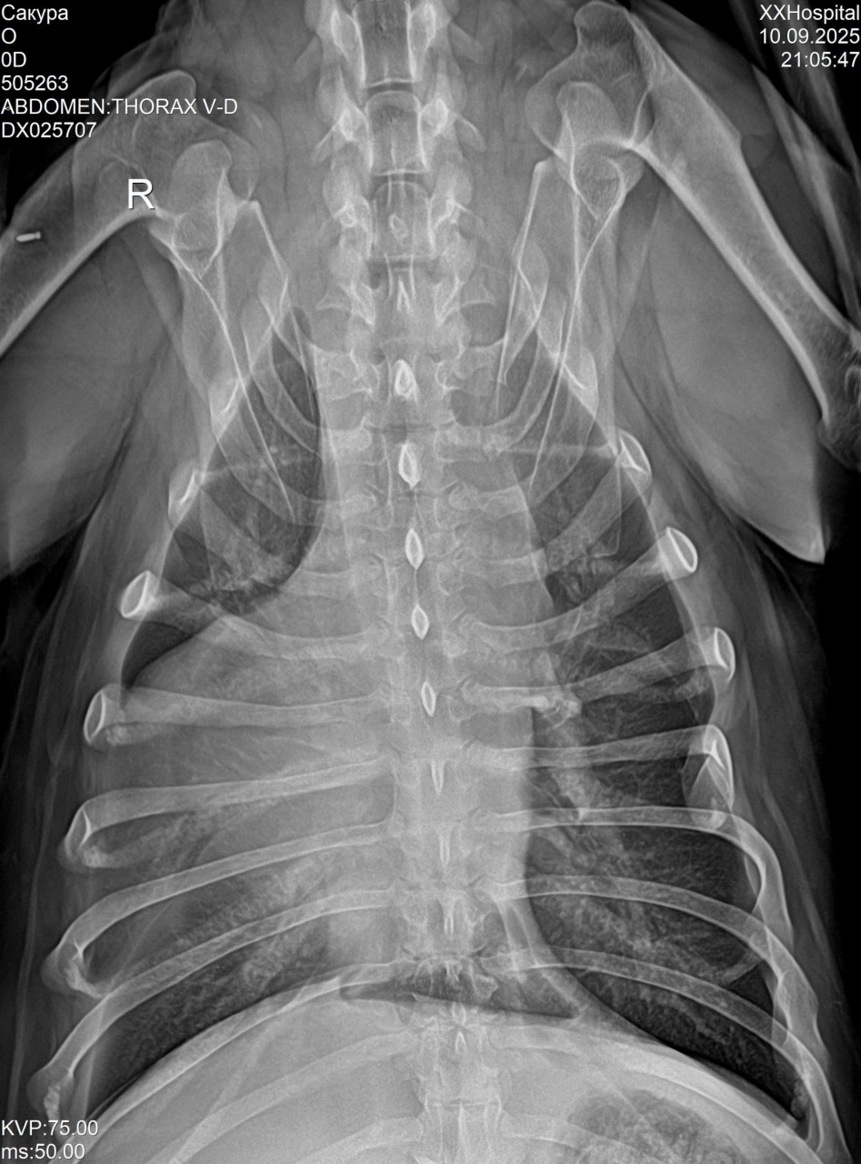
Добрый день, подскажите пожалуйста что по снимку у собачки, напугали каким то заворотом легкого
  • Возраст: 1.4
  • Хронические заболевания: Нет данных
закрыто с пометкой: вопрос закрыт по истечении срока давности

2 Ответа

Опыт: 12 лет
Ветеринар
12 Сен, 25
Здравствуйте. По снимкам видна неоднородность в лёгких, но поставить диагноз «заворот доли лёгкого» только по рентгену нельзя т.к требуется клиническое обследование и  КТ. Обязательно покажите результаты ветеринарному пульмонологу.
12 Сен, 25
Была пневмония, скажите пожалуйста очень серьезное что то по снимку или это вариант нормы после пневмонии

И еще что то с сердце, геометрия нарушена, вы это тоже видите на снимке?
После пневмонии на рентгене могут сохраняться остаточные изменения и это вариант нормы, но для точной оценки нужно сравнение с предыдущими снимками. Что касается сердца, то по рентгену его форму и размеры можно лишь предположить, окончательно оценить геометрию можно только на ЭКГ и ЭхоКГ.
0 голосов

Ваше мнение очень важно для нас. Оставьте отзыв о работе нашего портала

Оставить отзыв

Популярные запросы пользователей

...