Вопрос в категории "лор" /

Синусит, первоначальное лечение не помогло

Василиса Кондратьева 04 Сен, 25
Вопрос закрыт
2 Ответа
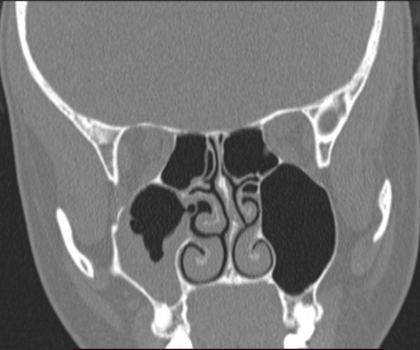
Добрый день. Прошу помочь разобраться с вопросом по лечению. Так же прикреплю снимки.

Симптомы ОРВИ появились давно, полагаю, что недолечилась и осложнение дало на нос. Обратилась к врачу Лору 30.08.2025 (пришла уже со снимком КТ (1)) он поставил диагноз - острый правосторонний верхнечелюстной синусит, легкой степени тяжести. Мои симптомы на тот момент были: головная боль, отдающая в пазух носа, температура 37,3, выделений из носа не было с обеих сторон, нос дышал, периодически была небольшая заложеность. Доктор выписал : Амоксиклав, Спрей Аквалор софт и Назонекс. Ушла лечится, на второй день приема антибиотиков у меня почему то поднялась резко температура до 38. Сбила на второй или третий день лечения. Промывая нос, капала. Сегодня делала повторный снимок КТ (2) и что то вообще без изменений, наверное больше увеличилось жидкости. Я в растройствах, так как не хочу делать прокол и думала, что мне первоначальное лечение поможет. Как быть сейчас? Возможно ли изменить лечение и попринимать что то еще, более действенное? Прошу помочь разобраться в этом вопросе.

P.S также доктор сказал, что у меня плохо дренируется правый пазух, на фоне искривленной перегородки.
  • Возраст: 25 лет
  • Хронические заболевания: Семь лет назад был гайморит, делала прокол.
закрыто с пометкой: Пациент получил ответ на свой вопрос

2 Ответа

04 Сен, 25
Здравствуйте! По КТ сохраняется выраженный синусит справа, лечение антибиотиком и спреями пока недостаточно эффективно. В таких случаях обычно корректируют терапию (другой антибиотик, добавление муколитиков, физиотерапии), а при отсутствии улучшений рассматривают пункцию для дренирования пазухи. Рекомендую повторно обратиться к ЛОР-врачу для пересмотра схемы лечения.
+1 голос
04 Сен, 25
Здравствуйте! На снимках действительно видно скопление жидкости в пазухе и при искривлённой перегородке дренаж затруднён, поэтому улучшения может не быть. Иногда удаётся обойтись без прокола, усилив лечение это  смена антибиотика, промывания пазух под контролем врача, добавление местных процедур. Но решение о тактике должен принять ЛОР после осмотра и оценки динамики.
+1 голос

Ваше мнение очень важно для нас. Оставьте отзыв о работе нашего портала

Оставить отзыв

Популярные запросы пользователей

...