Вопрос в категории "ортодонт" /

Аппарат Марка Росса

Светлана Савина 31 Авг, 25
Вопрос закрыт
2 Ответа
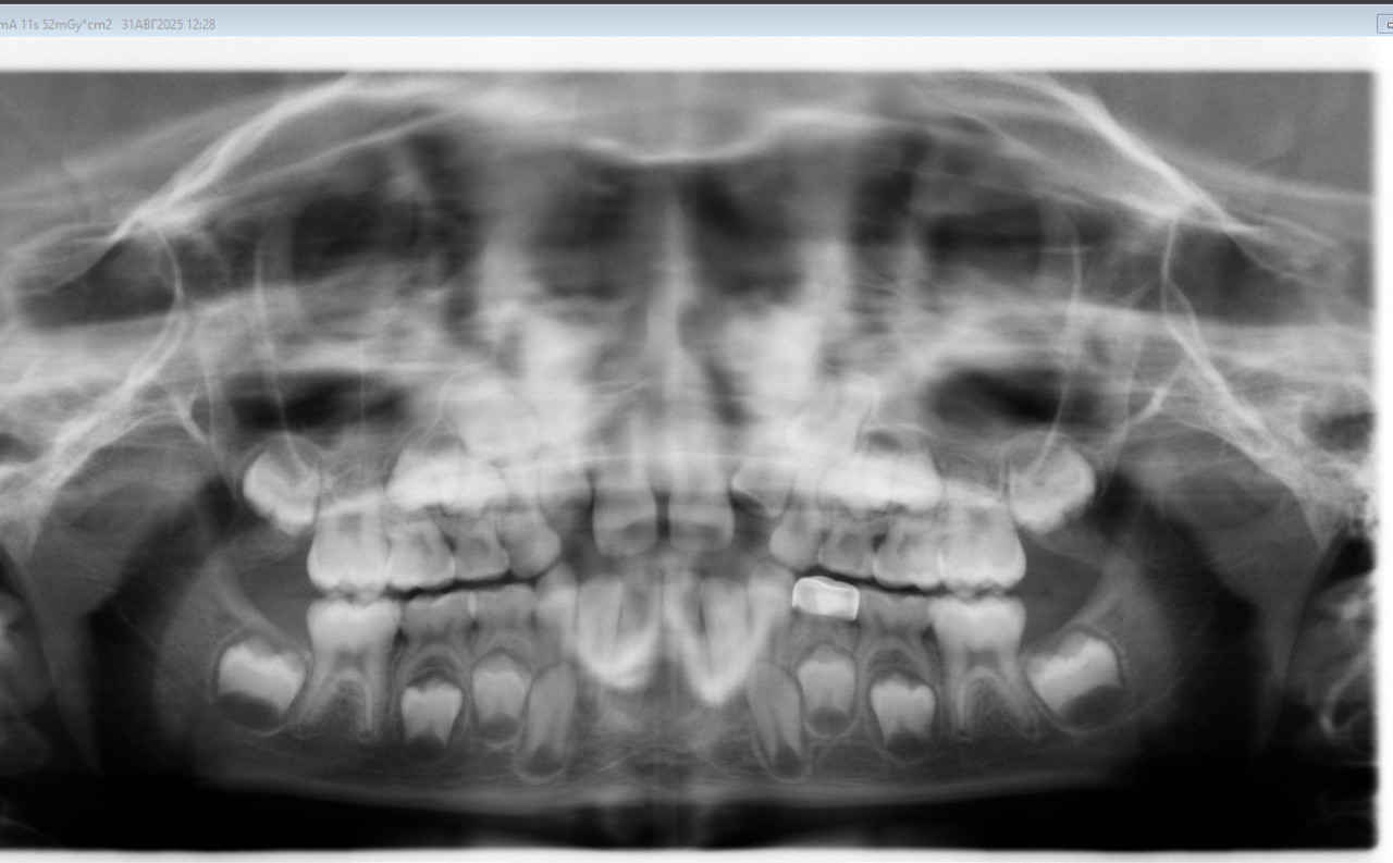
Здравствуйте, пролечились дважды на аппарате Марка Росса в 4 года и в 7 лет.

Последний аппарат стоял 10 месяцев. Сняли в июне этого года и он был раскручен не полностью, а только наполовину.

Снимок рентгена свежий сегодняшний. Были на консультации у ортодонта, нам сказали что последний аппарат сняли рано и что места нету для верхних зубов. Сказали необходимо ставить повторно аппарат Марка Росса примерно на 9 месяцев.

Вопрос к коллегам ортодонтам, исходя из снимка это действительно так, что повторно необходимо его ставить, тк места нет?

Если так, не понимаю чем руководствовался врач который нас наблюдал и зачем он снял раньше времени, если сейчас снова ставить, а могли просто не снимать и носить дальше…
  • Возраст: 8,5 лет
  • Хронические заболевания: Дцп
закрыто с пометкой: вопрос закрыт по истечении срока давности

2 Ответа

Опыт: 24 года
Ортодонт
31 Авг, 25
Здравствуйте. По рентген-снимку видно, что места для прорезывания постоянных верхних зубов действительно недостаточно и риск скученности остаётся. В таких случаях повторное применение расширяющего аппарата (в том числе аппарата Марка Росса) это стандартная тактика для создания пространства. Сроки ношения обычно подбираются индивидуально поэтому решение о снятии в прошлый раз вероятно было преждевременным. На данном этапе повторная установка аппарата оправдана, чтобы избежать выраженной скученности и более сложного ортодонтического лечения в будущем.
0 голосов
Опыт: 10 год
Ортодонт
31 Авг, 25

Здравствуйте.  На снимке действительно видно ограниченное пространство для прорезывания постоянных зубов, поэтому врач рекомендующий повторную установку аппарата принял правильное решение. Иногда аппарат снимают раньше по разным причинам (индивидуальная переносимость, состояние зубов или дёсен, решение семьи). Сейчас важно не акцентироваться на прошлом, а оценить актуальное состояние: при недостатке места расширение верхней челюсти поможет предотвратить выраженную скученность и уменьшить объём будущего лечения брекетами.

0 голосов

Ваше мнение очень важно для нас. Оставьте отзыв о работе нашего портала

Оставить отзыв

Популярные запросы пользователей

...