Вопрос в категории "травматолог" /

Возможен ли ложный сустав?

Дмитрий Л 09 Авг, 25
Вопрос закрыт
2 Ответа
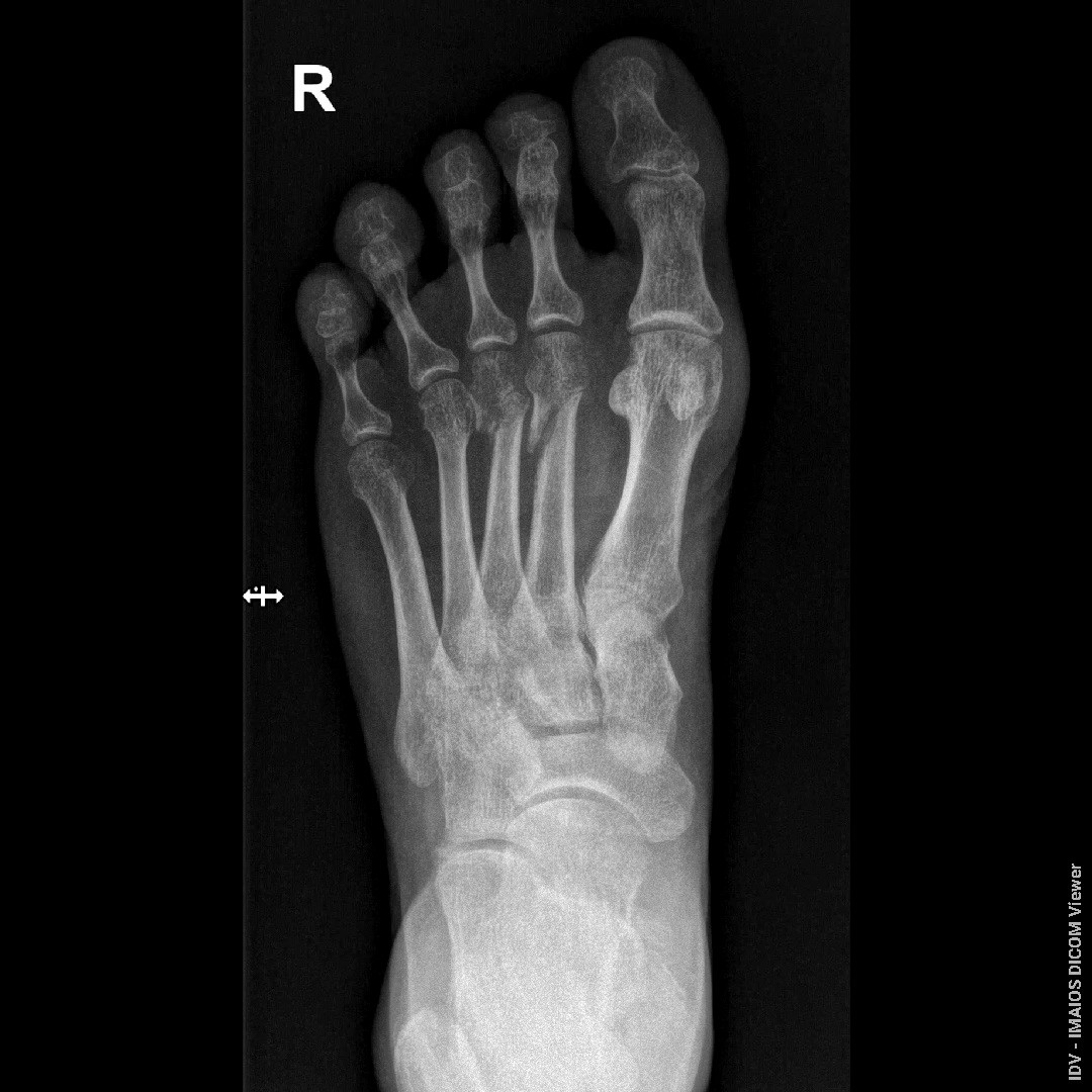
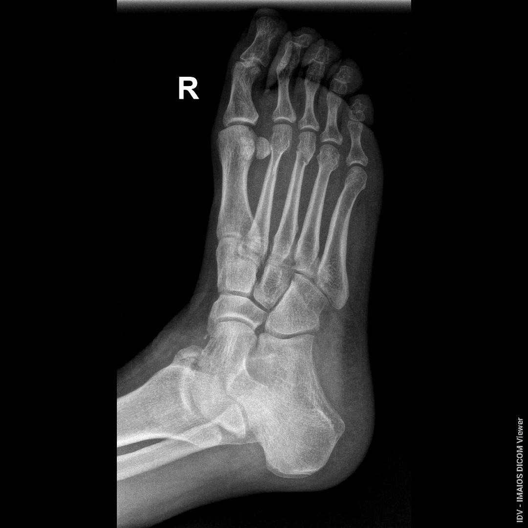
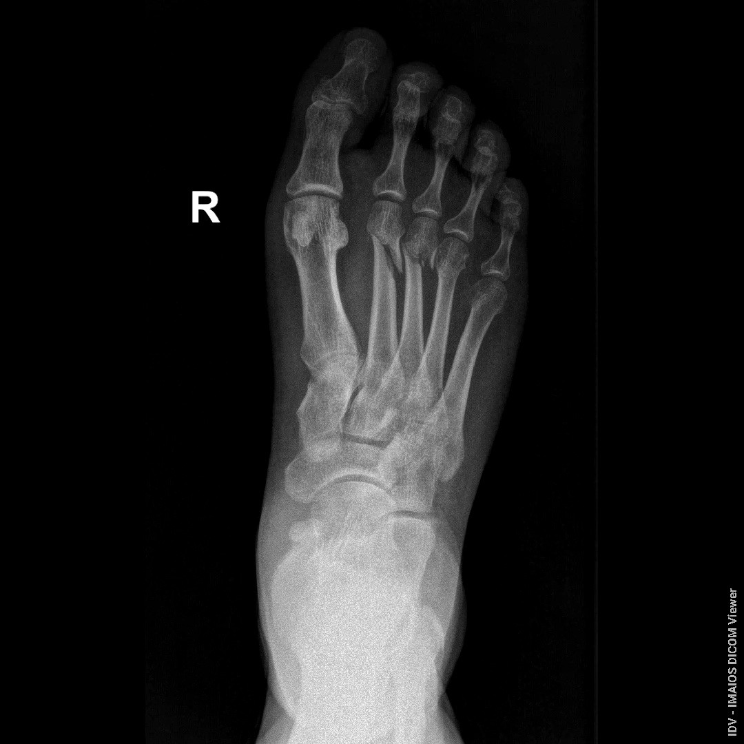
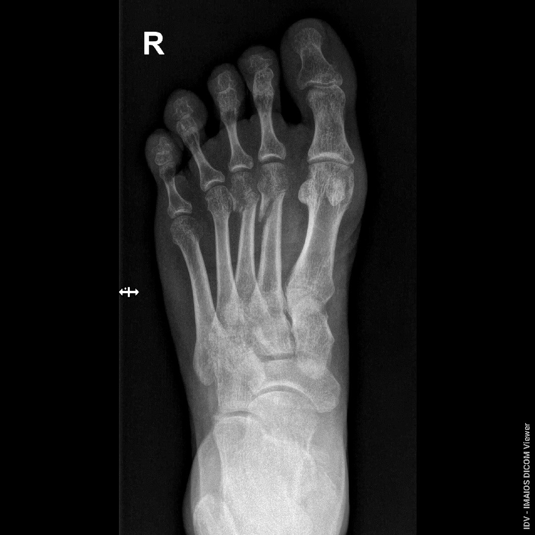
Здравствуйте, доктор, переломы были 23.06.2025, прошло уже почти 7 недель, возможно ли судя по снимкам образования ложных суставов, если будет срастаться плохо? прикрепляю последние снимки от 08.08.2025
  • Возраст: 38
  • Хронические заболевания: Остеопения
закрыто с пометкой: вопрос закрыт по истечении срока давности

2 Ответа

Опыт: 28 лет
Травматолог
09 Авг, 25
Здравствуйте. Ложный сустав за 7 недель не формируется, на снимках есть признаки сращения, но перелом ещё не полностью зажил, поэтому нужен щадящий режим и контроль у травматолога.
09 Авг, 25
Андрей Павлович, Большое Спасибо Вам за ответ! Я понял, что за 7 недель ложнвй сустав не формируется, но если переломы так до конца и не срастутся, возможно ли формирование ложных суставов? На приложеных снимках есть два первичных снимка от 23.06.2025 и один с5имос вчерашний, от 08.08.2025
Да, при отсутствии сращения со временем возможно формирование ложного сустава, поэтому важно наблюдаться у травматолога и контролировать процесс заживления.
+1 голос

Ваше мнение очень важно для нас. Оставьте отзыв о работе нашего портала

Оставить отзыв

Популярные запросы пользователей

...